病例简介
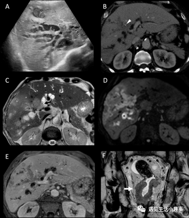
一名65岁男性,既往无特殊病史,因厌食、黄疸和发热症状到急诊科就诊。 血清总胆红素水平为7.5 mg/dL,直接胆红素为5.4 mg/dL。 腹部超声检测到肝内胆管广泛且不规则扩张,内容物不均匀,显示在一级胆管汇合处突然终止,被一个边界不清的低回声病变所掩盖(图1A)。 CT证实左右胆管汇合处存在边界不清的病变,浸润性生长和门脉增厚,尤其是在右叶(图1B)。还发现中低直肠壁不规则增厚,疑似肿瘤。 磁共振胰胆管造影显示血供不足的病变,沿胆管扩散和浸润性生长受限,与导管内乳头状突起相关,涉及汇合处、右导管和右前导管(图1C-E)。 在对特征为腺癌的直肠病变进行活检时,进行直肠MRI检查,将肿瘤分期为T3N1(图1F)。 癌胚抗原和CA19.9分别升高至14.9 ng/mL和47.5 U/mL。 图1:(A)腹部超声检测到肝内胆管广泛和不规则扩张,内容物不均匀,以及相关的肝内异质液体聚集,提示肝脓肿。胆管汇合处被一个界限不清的低回声病变所掩盖。(B)腹部CT门静脉期证实在胆管汇合处存在边界不清的血供不足病变,沿右前胆管扩张和浸润性生长,门静脉通道增厚。在肿块中发现点状钙化(白色箭头)。(C)腹部MRI[T2加权图像(WI)轴平面]。肿块有导管内生长,表现为乳头状突起(黑色箭头)。(D)腹部MRI(弥散WI;b=900)。在病变中心和沿右前胆管发现扩散受限,表明胆管内生长。此图像中还存在肝脓肿(星号)。(E)腹显示与CT的相同发现。保留门静脉和分支。(F)直肠MRI(T2-WI冠状)对浸润右侧直肠系膜脂肪(白色箭头)并邻接内括约肌但不侵入括约肌间平面的直肠肿瘤进行分期。还发现了一个可疑淋巴结(黑色箭头)。(F)直肠MRI(T2-WI冠状)对浸润右侧直肠系膜脂肪(白色箭头)并邻接内括约肌但不侵入括约肌间平面的直肠肿瘤进行分期。还发现了一个可疑淋巴结(黑色箭头)。
看到这里,您认为这例患者是原发性胆道肿瘤还是直肠癌胆道转移呢?考虑一分钟再看答案哦~
诊断结果 病例讨论 最后,总结一下学习要点
①尽管目前CT和MRI的分辨率很高,但仍无法对胆道转移瘤和胆管癌进行鉴别诊断,必须进行活检。 ②存在与邻近实体病变相关的扩张性生长的导管内病变和结直肠癌病史,则更可能为导管内转移而不是原发性导管内胆管癌。
参考资料
本文仅供医学药学专业人士阅读



-e1692349675971.jpg-pd13)

-e1683539610663.jpg-pd13)












X