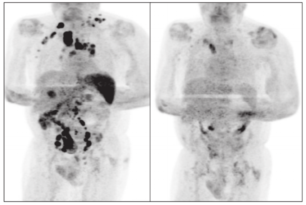
大千世界无奇不有!此前,《英国血液学杂志》(British Journal of Haematology)曾报道了一个匪夷所思的案例:一位霍奇金淋巴瘤患者感染了新冠病毒,四个月后,他体内的肿瘤竟几乎消失了。在患者不幸“中招”的过程中,其未接受皮质类固醇和免疫化疗。
左图:黑色区域显示感染新冠前癌细胞已扩散至全身多处器官
你品,你细品……这不就意味着血液肿瘤患者面对新冠,选择“躺平”就能使肿瘤缩小,甚至不见吗?
非也!研究人员推测,可能是感染新冠病毒触发了患者体内的抗肿瘤免疫反应,激活的免疫系统成功清除了体内的癌细胞。换言之,这是一个通过感染病毒来杀死癌细胞的故事,并非绝对意义上“躺平”就能发生的“医学奇迹”。
最近频频刷屏的“德尔塔(Delta)毒株”正“疯狂营业”,疫情再起,“血液肿瘤患者能否主动出击,接种新冠疫苗”也成了热议话题。
血液肿瘤患者能不能接种新冠疫苗?接种后能获得有效的新冠防护效果吗?先下结论:能接种,但血液恶性肿瘤患者接种后的预防情况可能没有我们想象的乐观,这部分患者在产生抗体方面不如实体瘤患者或健康人群。因此,他们在接种新冠疫苗后仍需采取一定的防控措施,如佩戴口罩或保持社交距离等。
Cancer Cell在线发表了一项研究,结果表明新冠疫苗也能为癌症患者提供有力的抗新冠病毒感染保护。该研究中,纽约市200名癌症患者完成了一系列完整的新冠疫苗接种,其中,134名患者患有实体瘤,66名患者患有某种血液肿瘤。研究人员比较了这两组患者的抗体产生水平。
结果发现,与实体瘤患者(98%)相比,血液肿瘤(85%)患者血清转化率显著降低,尤其是接受高强度免疫疗法,如CD20靶向治疗和干细胞移植的受者。值得注意的是,接受免疫检查点抑制剂治疗或激素治疗的患者在接种疫苗后表现出血清高转化。与mRNA疫苗相比,接种腺病毒疫苗后观察到的IgG滴度相对较低。
扫盲版:疫苗是经特殊处理过的病毒,人体注射疫苗后不会致病,但能帮助免疫系统识别这种病毒。该研究的受试者一组接种mRNA疫苗;另一组接种腺病毒疫苗。
mRNA疫苗像一位“独具匠心”的设计师,为我们的细胞提供指导,使其能够制造一种无害的“刺突蛋白”。这么看,细胞自己制了个病毒的刺,接着自行消灭。小丑竟是细胞自己……
腺病毒载体疫苗,是把致病病毒A的部分基因植入不致病的病毒B,进行重组,形成新的病毒C。新病毒C有着病毒A那般的外观,却和病毒B一样战斗力不足。
此外,此研究中某些亚组患者的免疫原性可能降低,表现出不同程度的免疫抑制。癌症患者可能由于多种因素导致免疫功能低下,如恶性肿瘤本身引起的免疫低下、细胞毒性药物的骨髓抑制作用,以及曾接受/正在进行引起免疫治疗带来的免疫抑制[皮质类固醇、B细胞耗竭疗法(即抗CD20抗体)、细胞疗法(特别是嵌合抗原受体T细胞治疗)和干细胞移植]。
该研究的作者Amit Verma表示,医生可以建议患者,在接受B细胞耗竭疗法之前先接种新冠疫苗,然后等几天再行抗肿瘤治疗,这样能产生某种针对该病毒的抗体。Amit Verma补充说明道,这一措施对尚未接受任何治疗的新发血液恶性肿瘤患者更有效,但对那些已经接受B细胞耗竭疗法的患者作用不大。
尽管已有一定的证据支持新冠疫苗对癌症患者有效,但也并不意味着血液肿瘤患者接种后都能获得不错的免疫应答。究竟患者应该在治疗的哪个阶段接种新冠疫苗?下面的这项研究或可进行部分解释。
国际顶级血液类期刊Blood杂志上的一项研究显示,慢性淋巴细胞性白血病(CLL)患者接种两个剂量的mRNA疫苗后,39.5%的患者有针对疫苗的阳性应答,该免疫应答远低于同期健康对照。
该研究纳入167例CLL患者和53例健康对照,所有参与者均间隔21天接受了两剂BNT162b2 mRNA疫苗。其中,58例(34.7%)患者未接受过治疗,75例(44.9%)接受积极治疗,24例(14.4%)治疗后处于部分缓解(PR)或完全缓解(CR)状态,10例(6%)复发。首剂新冠疫苗接种后,平均随访75天,未见新冠感染。与健康人群相比,报告的疫苗不良事件无显著差异。
研究纳入的患者中,仅39.5%的患者对疫苗产生了抗体介导的阳性反应。相比之下,所有健康成年人(对照组)的免疫应答均较优。
两组患者免疫应答差异如此之大,或将归因于CLL患者抗癌治疗过程中所处的阶段不同。
-
与已经完成治疗并处于缓解状态的患者相比,正在积极进行抗肿瘤治疗的患者对疫苗的应答率显著降低。与近一年内仍在接受治疗的CLL患者相比,已完成治疗至少达1年的患者对疫苗的应答率显著增高。
-
接受常规靶向治疗的患者的疫苗应答率较低,包括BTK抑制剂(依鲁替尼或阿卡替尼等)、维奈托克与CD20抗体(利妥昔单抗等)。疫苗接种后12个月内,接受CD20靶向治疗的患者均无反应。
-
除此之外,患者年纪、性别和接种疫苗时免疫球蛋白水平可作为疫苗的应答率的独立预测因素。
-
恶性肿瘤本身以及CLL治疗手段可能影响了新冠疫苗的效力。
血液肿瘤患者究竟能不能接种新冠疫苗?美国血液病学会(ASH)按照疾病种类进行了阐述。下方“宝典”请接好(根据相关数据,指南会进行调整)~





[1]Challenor Sarah,Tucker David,SARS-CoV-2-induced remission of Hodgkin lymphoma.[J].Br J Haematol,2021,192:415.
[2]Thakkar Astha,Gonzalez-Lugo Jesus D,Goradia Niyati et al.Seroconversion rates following COVID-19 vaccination among patients with cancer.[J].Cancer Cell,2021,undefined:undefined.
[3]https://mp.weixin.qq.com/s/PKZ0rrGLYPdQPNIhXaaDkg
[4]Herishanu Yair,Avivi Irit,Aharon Anat et al.Efficacy of the BNT162b2 mRNA COVID-19 vaccine in patients with chronic lymphocytic leukemia.[J].Blood,2021,137:3165-3173.
[5]https://www.hematology.org/