“
肝内胆管癌(CCA)是一种侵袭性强、预后差的肿瘤,近年来多诊断为晚期。随着更有效、更新颖的化疗、靶向治疗和免疫治疗的出现,晚期ICC患者可以选择多种治疗方案。例如,使用吉西他滨和顺铂的双化疗方案(CisGem)得到了几项指南的支持。靶向药物,如Pemigatinib,在ICC治疗中表现出很大的疗效;此外,由于高遗传畸变,大多数患者对免疫治疗敏感,例如帕博利珠单抗。然而,如何选择最合适的治疗方案是困难的,目前大多数方案尚未被批准。随着个性化治疗的需求,多药联合治疗也可能成为新的发展趋势。今天,我们给大家分享一例肝内胆管癌患者,在接受CisGem+仑伐替尼+替雷利珠单抗治疗后成功转化。
三联疗法助力肝内胆管癌患者降期转化
实现长生存
一名60岁男性,于2020年5月21日在当地医院上腹部CT诊断为肝脏肿瘤就诊,主诉右上腹部钝痛数周无任何腹泻、便血、恶心或呕吐症状。进一步调查发现有高血压、冠心病、冠状动脉支架植入术和吸烟史,无其他与ICC相关的病史,如原发性硬化性胆管炎和血吸虫病。未见其他异常,体格检查正常。
除谷丙转氨酶(ALT) (52 U/L)、天冬氨酸转氨酶(AST) (43 U/L)外,血常规、凝血功能、肝肾功能均正常。肿瘤标志物癌胚抗原(CEA)、甲胎蛋白(AFP)、碳水化合物抗原125 (CA125)未见明显升高,碳水化合物抗原19-9 (CA 19-9)略高(42.1 ng/ml)。肝炎病毒标志物均为阴性。
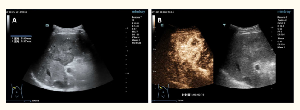
患者入院后进行进一步检查。脏器声学对比显示肝IV、V节实质低回声肿块,彩色多普勒血流显像(CDFI)显示血流信号。随后,增强CT和磁共振成像(MRI)显示肝脏V-VIII节段出现形态不规则的肿块(49 mm * 39.6 mm);肝门静脉和腹膜后淋巴结肿大,位于下腔静脉和腹主动脉之间的较大淋巴结(30.4 mm * 23.1 mm)。
根据以上信息,明确诊断为ICC,根据美国癌症联合委员会(AJCC)/国际癌症控制联盟(UICC)分期标准,将其分为IIIB期(T3N1M0)。为进一步评估,进行了肝脏活检和病理检查。结果显示为低分化腺癌。
免疫组化染色结果:arginase-1(-)、muc1(+)、CK7(+)、CK20(+)、CDX2(+)、SATB2(-)、P53(-)、Ki-67(60%+)。同时进行了下一代测序(NGS),结果显示:突变基因为BRCA2 p.G2270,突变频率为35.50%;突变基因为TP53 p.V73fs,突变频率为50.00%。同时检测到FGFR2基因融合。肿瘤突变负荷(TMB)为51.37 mut/Mb。48个不稳定位点,微卫星不稳定(MSI)评分为0.5926。综上所述,免疫治疗和靶向治疗可能对患者的肿瘤有效。
经过多学科专家会诊(MDT),决定采用CisGem+仑伐替尼+替雷利珠单抗三联方案。因此,患者接受了4个周期的系统治疗,未出现明显并发症。此后不久,2020年9月3日,肝脏MRI显示,肝V-VIII节段病灶缩小,直径约15mm,边界清晰。此外,肝门静脉和腹膜后多发淋巴结转移,但与既往治疗相比明显减少。正如预期的那样,患者按照标准RECIST 1.1标准成功地获得了部分应答(PR)。
治疗1个周期后,CA 19-9水平降至正常范围,血常规计数、凝血功能、其他肿瘤标志物及肝肾功能均正常。所有血液检查结果均正常,直到四个周期的治疗结束。随后患者在肝胆胰外科行右侧半肝切除术、胆囊切除术、腹部淋巴结清扫伴术后增强恢复(ERAS)通路。术后病理示肿瘤床坏死纤维组织增生,慢性炎症细胞浸润,胆固醇结晶,含铁血黄素沉积;体积4.5 cm*2.5 cm,胆管周围可见低级别上皮内瘤变;无明显肿瘤残留,肝门静脉淋巴结多为阴性。病人没有任何并发症,顺利出院。
术后1个月再次行MRI检查,术后出现肝胆变化,术区有少量渗出和积液。此外,患者于2020年10月24日再次使用新治疗方案进行辅助治疗。经过4个周期的辅助治疗,肿瘤消失,无复发。此后,患者继续使用原治疗方案进行进一步治疗。到目前为止,患者恢复得很好,术后随访10个多月,无严重副作用和复发。
病例讨论
目前,由于早期转移,只有30%-40%的肝内胆管癌患者有机会接受手术;即使
R0切除后,患者术后复发率约为60%-80%。目前除一线化疗外无标准治疗方案推荐,越来越多的有效治疗策略有待探索。首先,在某些肿瘤类型中,肿瘤DNA错配修复(MMR)缺陷和高MSI被证明具有对免疫检查点抑制剂的持久性反应。与MMR和MSI类似,TMB是另一种新兴的免疫治疗预测生物标志物。其次,根据一项II期临床研究,仑伐替尼被证实对胆管癌二线治疗具有可耐受的安全性,此外,化疗的细胞毒性细胞死亡活性会触发抗原释放,增强免疫刺激,提高PD-1/PD-L1抑制剂的活性。
其实这并不是三联方案在胆管癌领域的第一次尝试。在去年的CSCO/ESMO会议上,中国独创的特瑞普利单抗三联法一线治疗肝内胆管癌创历史新高,DCR达93.3%!值得注意的是,在该研究中,2例局部转移患者在治疗后临床分期降级,成功进行了手术治疗。在理论和临床数据的双重保障下,本例患者采用了三联治疗方案。
这是我们首次报道一种结合CisGem、仑伐替尼和替雷利珠单抗的新治疗方案,根据病理检查和NGS进行晚期ICC转化治疗。经过4个周期的治疗,患者获得PR。围手术期应用ERAS通路,患者获得R0切除,恢复快,无严重并发症。患者继续采用新的治疗方案,术后随访患者恢复良好,无复发及严重并发症。
本病例说明,随着对ICC的分子病理学和基因组学的进一步了解,肿瘤的治疗相对于其他方案可以逐渐进入更精确的阶段。此外,本报告是一次大胆的尝试,为晚期ICC患者突破传统治疗的瓶颈提供了一线希望。然而,这种治疗的长期生存率还不清楚。该疗法是否能真正带来临床效益并获得批准,还需要进行大规模的随机对照试验进一步探索。
本文仅供医学药学专业人士阅读

.jpg-pd13)












X