当前位置: 首页细胞治疗正文

未来十年,天价CAR-T细胞有望降到“白菜”价!哪些肿瘤患者能获益?

|2021年09月03日| 浏览:6414
随着对肿瘤研究的深入,肿瘤疗法也变得越来越多元化,CAR-T细胞免疫疗法为人类的抗肿瘤战役带来了新的曙光,成为近年来的研究热点。近年来,全球范围内掀起了CAR-T疗法研发的热潮,截至目前,美国已经批准了5款CAR-T疗法,而中国也终于在今年6月份也迎来了首款CAR-T疗法——阿基仑赛注射液

7月30日,药明巨诺靶向CD19的CAR-T产品瑞基仑赛注射液(relma-cel)上市申请已完成生产现场核查,等待审批。如若获批,瑞基仑赛将成为国内第 2款获批上市的CAR-T产品,同时也是首个1类CAR-T产品。

作为最前沿的疗法,阿基仑赛难免成为市场焦点。不过,市场人士除了关注CAR-T的疗效外,还关注另一个问题——“价格”。
有消息显示,复星凯特的CAR-T治疗药物阿基仑赛注射液一袋卖到120万元,这一价格着实让众多患者从惊喜变成惊呆!

顿时一石激起万重浪,但随后复星凯特方面表示产品定价方案尚未最终确定,需根据产品价值、疗效、成本等多项因素综合考量。
虽然不知120万这个数字是否准确,阿基仑赛注射液定价一定不会便宜,但这也是企业的无奈之举。值得庆幸的是,在7月31号,国家医保局传来好消息,官网发布的《关于公示2021年国家医保药品目录调整通过初步形式审查药品及信息的公告》中有271个药品通过初步形式审核,其中就有我国首款“天价抗癌药”CAR-T疗法。

图片

如果初步形式审查公示通过,则意味着CAR-T疗法可以进入2021年医保谈判的下一个环节,有望通过医保谈判实现降价。

CAR-T疗法“天价”如何破?未来十年有望降到“白菜价”

图片
CAR-T疗法就是嵌合抗原受体T细胞免疫疗法,是一种治疗肿瘤的新型精准靶向疗法。通过基因工程技术将T细胞激活,并装上定位导航装置CAR(肿瘤嵌合抗原受体),将T细胞这个普通“战士”改造成“超级战士”,即CAR-T细胞,专门识别体内肿瘤细胞,并高效杀灭肿瘤细胞,从而达到治疗恶性肿瘤的目的。

虽然目前国内的CAR-T疗法仅批准一个,但后续已经有类似产品在跟进。目前对于如何破解“天价”,分析师们畅所欲言。
对策A就是国内目前已经有商业保险开始覆盖CAR-T疗法,患者们可以从这方面考虑。
其次,要相信中国CDMO(合同研发生产)企业可以将CAR-T疗法的成本降到全球较低的水平。
最后,分析师提到,从生产成本来看,经测算,国产的CAR-T产品有机会降到18万左右,未来甚至可以降到10万以下。
通过国内CAR-T登记的注册临床试验很直观地能看出,中国成为自2017年9月以来注册CAR-T试验最多的国家。
一方面是CAR-T的价格有望降低,一方面是进入CAR-T赛道的企业越来越多,这是否意味着CAR-T将像当前的PD-1卡耐药一样成为残酷的“红海”赛道?
分析师认为,预计3~5年后的CAR-T疗法可能面临类似当前PD-1的激烈竞争格局。除了血液肿瘤方面,CAR-T在实体瘤还有很大的市场。无论是血液肿瘤还是实体瘤,CAR-T疗法还有望冲击肿瘤治疗的前线。
我们期待这些“天价”但是“特效”的抗癌疗法能将价格降到国内癌友们能承受的范围。
其实近几年,国产CAR-T细胞疗法正飞速发展中,不断地突破桎梏,探求新的进展。那么,今天小编就给大家介绍下近期内有哪些令人惊艳的国产CAR-T疗法的最新临床研究。
图片

复发/难治性多发性骨髓瘤

总缓解率98%!BCMA CAR-T疗法JNJ-4528疗效强劲!

 

图片
6月1日,国内药企公布了BCMA导向CAR-T细胞疗法JNJ-4528(cilta-cel,LCAR-B38M CAR-T细胞自体回输制剂)的最新研究数据。结果表明,在先前接受过多种疗法(过度预治疗)的复发/难治性多发性骨髓瘤(RRMM)患者中,cilta-cel显示出持续的疗效和持续缓解!
研究结果显示,中位18个月的长期随访,客观缓解率(ORR)达到了98%80%的患者达到严格的完全缓解(sCR),强调随着时间的推移缓解加深(sCR从2020年ASH年会上报告的67%增加到80%)。在18个月时,有66%的患者存活且疾病无进展。在2021年ASCO年会上将要公布的最新研究结果显示,中位随访18个月,总生存(OS)率为81%,缓解率在全部预先指定的亚组和不同治疗线数患者中具有可比性。

缓解率达94.7%!国产CAR-T疗法打破复发难治性癌种治疗瓶颈

 

图片

近期国内创新药企在ASCO(美国临床肿瘤学会)年会及EHA(欧洲血液学协会)大会期间公布了旗下GC012F治疗复发/难治性多发性骨髓瘤最新临床研究进展。

临床数据显示,早期客观缓解率(ORR)高达94.7%(18/19),所有应答均获得了极佳的部分缓解(VGPR),乃至严格意义上的完全缓解(sCR);从剂量维度来看,不同组别的数据也均呈现出快速、深入、持久的治疗效果。
惊喜的是,最高剂量组的数据尤为亮眼,全部9例患者均取得微小残留病灶阴性-严格意义上的完全缓解(MRD-sCR),且在接受GC012F输注后6个月乃至更长时间都保持着深度应答。

图片
肝癌

晚期肝癌也有救!中国人专属的CAR-T临床试验,再现曙光!

 

图片
GPC3为靶点的CAR-T细胞治疗晚期肝细胞癌(HCC)的I期临床研究结果“面世”:治疗的安全性和有效性均获得了令人期待的结果。
截止到2019年7月24日,共有13例患者接受了CAR-GPC3 T细胞。所有患者均为GPC3阳性,均接受过手术治疗、局部治疗或全身性的系统治疗,都携带乙型肝炎病毒(HBV)。

其中有2例患者获得部分缓解(PR),所有患者6个月、1年和3年的生存率分别为50.3%、42.0%和10.5%,中位生存时间(OS)为278天(39.7周)。

典型病例
这两例患者生存时间分别是20.5个月(图P13)和44.2个月(图P3),其中一例疾病稳定的患者至今生存期将近4年!

图片

疾病控制率达78%,国产CAR-T疗法在肝癌领域大展拳脚

 

图片

今年ASCO年会上我国医学研究者们首次公布了靶向GPC3的CAR-T药物(Ori-CAR-001)治疗复发/难治性肝细胞癌的最新临床研究数据。该研究的初步数据显示,Ori-CAR-001在GPC3阳性复发/难治性患者中表现出良好安全性和有效性。

截至2021年3月10日,共纳入11名接受细胞输注的复发受试者。所有受试者均患有晚期肝细胞癌,并且经过化疗、TACE(肝动脉化疗栓塞术)和靶向治疗均无效。9例可评估受试者中,4例达到部分缓解 (PR),3例达到疾病稳定 (SD),2例出现疾病进展 (PD),客观缓解率为44%,疾病控制率达到78%
图片
在数据截止时,受试者007的部分缓解时间6个月,其肿瘤体积在细胞治疗输注后1个月减少了80%以上。(截至2021年6月,该受试者已超过8个月的疾病控制,随访仍在进行中)。受试者012是1例弥漫型、巨块型晚期肝癌患者,曾接受过12次以上的TACE治疗、放疗及靶向治疗,不幸的是均无效,随后参与本研究。
在输注CAR-T细胞后的第28天,受试者MRI结果显示最大肿瘤直径从最初的133毫米减少至9毫米,缩小超过93%目前,该受试者正在接受CAR-T细胞输注后第3个月的评估,MRI扫描显示此肿瘤几乎消失。此外,甲胎蛋白(AFP,原发性肝癌的特定肿瘤标志物)水平从基线值 >80,000/ng/ml 下降到第1个月的1148.9ng/ml,并在第3个月下降到746.7ng/ml输注(正常范围<40ng/ml),证明 Ori-CAR-001 在晚期肝癌患者中具有显著的初步疗效。 
图片

受试者012的MRI结果示意图

在已回输的11例患者中,Ori-CAR-001显示出了良好的安全性和耐受性。
图片
卵巢癌

无进展生存5个月,生存达17个月!新型CAR-T疗法成效显著!

 

图片
2月18日,国际一流学术期刊《癌症免疫治疗杂志》刊登了关于中国医学研究者采取CAR-T自分泌PD-1抗体用于实体肿瘤治疗的研究成果。临床数据显示,一名晚期难治性卵巢癌患者采用这种治疗手段后,无进展生存5个月,生存达17个月。
此文也是国际上第一篇使用CAR-T自分泌PD-1抗体用于实体肿瘤治疗的临床数据文章。PD-1/PD-L1抑制剂对PD-1的阻断作用可以显著增强CAR-T细胞的抗肿瘤功效和反向免疫抑制。
在这项研究中,化疗失败史的卵巢癌患者接受了与阿帕替尼组合的两次αPD-1-mesoCAR-T细胞输注。MRI观察到肝转移结节的协同抑制作用。该患者获得部分缓解,生存了17个月,并有轻微的副作用。结果表明,CAR-T细胞与阿帕替尼的组合将成为治疗晚期/难治性卵巢癌的新治疗方法。

图片
胆道系统肿瘤

中国CAR-T技术首次碰撞胆道系统肿瘤,肿瘤完全消失

 

图片
在2018年3月,解放军总医院韩卫东教授的团队在国际知名《clinical cancer research》杂志上报道了利用EGFR CAR-T技术治疗胆道系统肿瘤的初步结果。
此次纳入的患者均为EGFR强阳性(>50%的癌细胞表达EGFR)的不可切除的胆道系统恶性肿瘤患者,共纳入19例患者,包括胆管癌14例,胆囊癌5例。
研究结果显示,17例患者可评估,其中1例胆管癌患者的肿瘤完全消失,截止到目前疗效已经保持了22个月,尚未发现疾病复发。10例患者疾病稳定,疗效保持2.5~15.5个月,中位无进展生存期为4个月。
图片
CART-RGFR细胞治疗之前和1、3、10和15个月患者1的CT扫描图像。
红色箭头表示原发肿瘤和腹膜后淋巴结转移。
在研究中有10例患者在化疗预处理中出现3~4级的副作用,经积极处理均可恢复正常。

这是中国人自主研发的针对实体瘤的CAR-T第一次报道不错的临床疗效。极度恶性的胆管癌患者,首次出现了完全缓解,可喜可贺!

图片
胃癌及胰腺癌

CAR-T挑战实体瘤!治疗胃癌及胰腺癌有效率达33%

 

图片
在实体肿瘤领域,中国取得了备受世界瞩目的成绩,研发出了国际上首个靶向Claudin18.2的实体瘤CAR-T疗法。

Claudin18.2(CLDN18.2)是一种胃特异性膜蛋白,被认为是胃癌和其他癌症类型的潜在治疗靶点。基于此,中国研究人员开发了国际上首个针对 Claudin18.2 的 CAR-T 细胞。

2019 ASCO年会上,CAR-Claudin18.2 T 细胞治疗胃癌/胰腺癌的临床数据更新显示,靶向claudin18.2 CAR T细胞治疗12例转移性腺癌(胃癌7例,胰腺癌5例),未发生严重不良事件、治疗相关死亡或严重神经毒性。11例评估对象中:1例(胃腺癌)完全缓解;3例(胃腺癌2例胰腺腺癌1例)部分缓解;5例病情稳定;2例病情进展;总客观缓解率为33.3%。

图片并且,CAR-Claudin18.2 T 细胞治疗胃癌的临床前研究成果显示,靶向Claudin18.2的CAR-T细胞在小鼠模型中可以完全清除胃肿瘤,且没有发生脱靶毒性。

图片

非小细胞肺癌

EGFR为靶点的CAR-T治疗晚期难治性NSCLC

图片
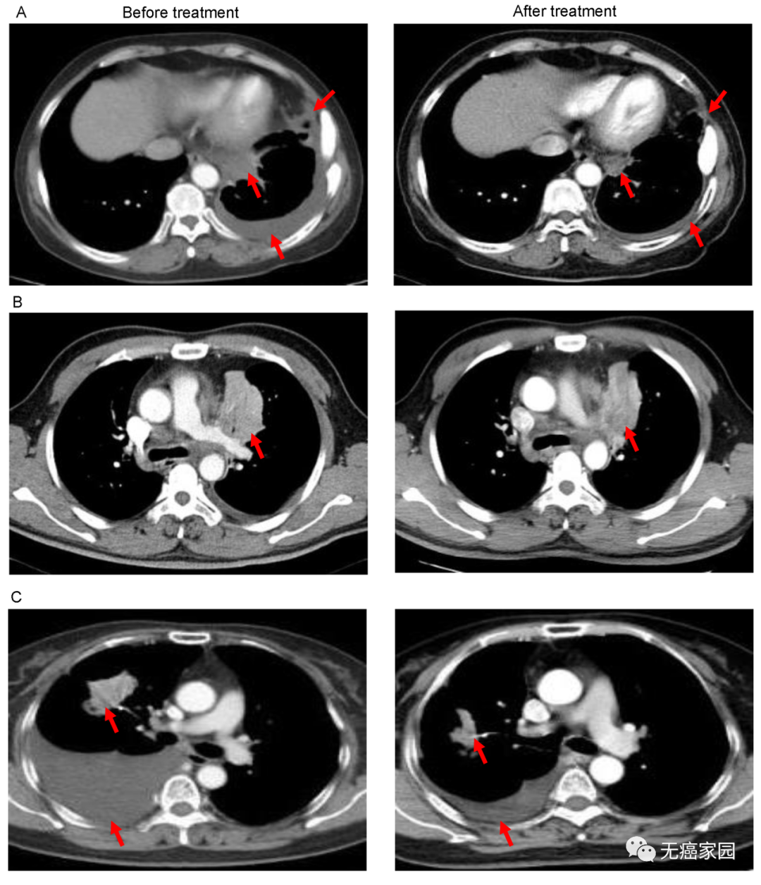
301医院在国内率先开展CAR-T疗法,成果显著。韩为东教授曾报道过利用EGFR为靶点的CAR-T治疗EGFR表达强阳性(EGFR表达超过50%)的晚期难治性的非小细胞肺癌患者。
研究结果显示,其中11例患者疗效可评价:2例患者肿瘤明显缩小,5例疾病稳定。

图A中患者1在输注CAR-T细胞后,通过CT扫描显示其胸腔积液减少,转移性肺门淋巴结和胸膜结节轻度缩小(箭头)。

图B中CT图像显示患者8的原发性肿瘤缩小(箭头);

图C中CT检查发现CAR-T治疗后患者9的胸腔积液吸收和肺部病变明显消退。

图片

CAR-T疗法的获批将为中国患者带来更多临床获益

 

图片
阿基仑赛注射液获批上市,首先对符合其适应症的患者又增加了一种新的治疗选择,也就多了一份治愈的希望。
其次,这次的获批意味着CAR-T疗法已经被国内环境所接纳,未来更多CAR-T产品或适应症的研发及审批都将得到提速。
我们期待着,越来越多的临床前/临床试验数据能够拼凑出一幅完整的拼图,充分展示CAR-T细胞疗法治疗晚期血液肿瘤及实体瘤的真正实力。

 

点击查看全文


本文仅供医学药学专业人士阅读

本文来源: 无癌家园 发表,转载请注明来源!如有侵权请联系删除
关键词:
基因检测可不是“白做”的,超过80%的癌症患者有机会从中获益!
上一篇

基因检测可不是“白做”的,超过80%的癌症患者有机会从中获益!

如何提高结直肠癌生存率?肌肉要增加,脂肪要减少,可能有帮助!
下一篇

如何提高结直肠癌生存率?肌肉要增加,脂肪要减少,可能有帮助!

阅读相关文章
最新医生问答

这种情况严不严重?

2025年10月23日
最新抗癌笔记
top3

新年打卡

2024年02月17日
top4

好久没来

2024年02月17日
top5

CR

2024年02月01日
top6

七周年纪念!

2024年01月25日
扫描下方二维码回复 666 获取解锁验证码
步骤:[ 打开微信]->[ 扫描上方二维码]->[关注"三阴姐妹互助圈"公众号输入 666 获取验证码],即可永久解锁本站全部文章
验证码: