看到痣就是黑色素瘤?大咖带你搞清楚!

|2021年10月27日| 浏览:6589
看到一个“痣”,它是不是痣?典型还是不典型的?会不会有癌变可能?是不是已经有癌变?
2021年第30届欧洲皮肤病与性病学会年会(EADV)已于9月29日-10月3日顺利召开。这场皮肤学的盛会涵盖了多个研究领域。就在9月30日,来自奥地利的Harald Kittler教授以《典型和非典型痣》为讲题,盘点了痣与黑色素瘤之间剪不断理还乱的关系。
图片
Harald Kittler教授带来“典型与非典型痣”的讲题
Harald Kittler教授认为,非典型痣即意味着该皮损与黑色素瘤有着密切关系,可能直接指向该受试者患有黑色素瘤,可能预示该受试者患黑色素瘤的风险很高,也有可能该皮损本身就是一个原位黑色素瘤。
那么,但什么是典型痣?什么是非典型痣?下面咱们一步步搞清楚这些问题。

1

从正式认识“痣”开始

“痣”是一个很普遍的存在,咱们每个人身上或多或少都有一定数量的“痣”。
不论A、B、C三个人各自有多少个痣,每个人身上痣的总数在20-30岁之间最多
这是因为,绝大多数的痣通常是在出生后到20岁之间形成的,而30岁以后新痣的形成会减少,已经存在的痣还会有一部分自行消退。
但是,这些痣到底是消退到看不见了还是彻底消失了?具体的过程是什么?目前还并不清楚
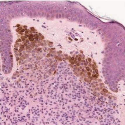
咱们常说的痣,学名其实叫“黑素细胞痣”。肉眼看起来,黑素细胞痣是直径2-6mm、具有均匀颜色和对称结构的皮损。显微镜下,黑素细胞痣边界清楚、形状对称,由黑色素细胞组成,且每个黑色素细胞形态一致
图片
交界痣最表层部分的显微镜下高倍图像
上面描述的这种黑素细胞痣就是正常的、典型的痣。那么不典型的痣长什么样呢?
不典型的痣根据其形态改变又分为轻度、中度和重度异型性
轻度异型性:黑色素细胞的细胞核浓缩,呈卵球形至椭圆形,染色质深,呈锯齿状,通常没有可见的核仁,或核仁很小。核形状存在相当大的可变性。细胞质经常塌陷,在细胞周围形成一个清晰的空间或光晕。
中度异型性:许多细胞核扩大到基底角质形成细胞的大小,呈椭圆形或菱形的深染,在细胞核的中心通常有一个小的核仁可见。与静止的黑素细胞相比,细胞质经常扩大,并且在固定时可能不会塌陷以显示细胞周围的“光环”。
重度异型性:痣细胞巢比单个分散的痣细胞占数量优势,痣细胞的细胞核增大,通常比角质形成细胞中的细胞核大。通常有混合的细胞,包括大的、奇异的深染细胞核和较小的细胞核,染色质分散,核仁通常很突出。有丝分裂通常在交界部分比较容易发现。

2

什么样的痣有癌变风险?

研究表明,大约25%-33%的皮肤黑色素瘤由痣引起在高危患者中,如有大量痣的患者,这一数字可能高达50%
图片
皮肤黑色素瘤高危患者(来自线上演讲)
从一个普普通通、人畜无害的正常黑色素细胞到令人恐惧的黑色素瘤,简单来说经历了黑素细胞痣(普通的痣)、发育不良痣(即非典型痣)、原位黑色素瘤和侵袭性黑色素瘤的过程不过,大多数黑色素瘤的进展更为复杂,不仅仅是单纯的线性、逐步发展的自然史。
非典型痣其实就是Harald Kittler教授所说的与黑色素瘤密切相关的“痣”。在人群水平上,曾长过痣且表现为非典型痣的患者发生黑色素瘤的总体风险呈数量依赖性增加
单个非典型痣进展为黑色素瘤的风险大小仍不清楚,部分研究者认为它们可能只是在形态学上与黑色素瘤组织学更相似。另外,目前并没有非常明确的标准区分良性痣(典型痣)、组发育不良痣(非典型痣)和黑色素瘤之间的关系。
从基因突变的角度看,黑色素瘤中约50%存在BRAF基因突变(最常见的是V600E)这也是BRAF抑制剂用于治疗黑色素瘤的原理。另外,大多数研究表明,约80%的痣中存在BRAF突变这是不是意味着BRAF基因突变在痣进展为黑色素瘤的过程中扮演重要的角色?
答案可不是这么简单。2005年在斑马鱼模型进行的一项研究表明,BRAF激活足以驱动痣形成,但本身不会导致体内黑色素瘤形成……
所以啊,在探索黑色素瘤形成原因的道路上,我们仍还有很多路要走。

3

怎么早期判断和预防黑色素瘤?

“这题我知道!”
——“切它!”
图片
Oh……事实上,虽然一小部分痣最终会导致黑色素瘤,但绝大多数的痣永远都不会癌变
据估计,任何单个痣的年转化率为1/20万(40岁以下个体)到1/33000(60岁以上男性)。把这个数字放在一个人的一生中,任何一个痣进展为黑色素瘤的发生率在男性约为1/3000,女性约为1/11000。所以,预防性去除痣并不是临床实践的一部分。
最后,有研究者认为,定期检查皮肤痣的新发情况和筛查新发黑色素瘤可能是在早期阶段识别和治疗黑色素瘤的有效方法这一观点,可供大家参考。

 

参考资料:
[1]Cancer Epidemiol Biomarkers Prev.2007;16(7):1499-502.
[2]Br J Dermatol.1985;113(2):167-74.
[3]Dermatol Clin.2012;30(4):567-79,v.
[4]Oncogene.2017;36(42):5771-5792.
[5]The melanocytic proliferations.1st ed.New York:Wiley;2001.
[6]Arch Dermatol.2003;139(12):1620-4.
[7]JAMA Dermatol.2016;152(3):291-8.
[8]Hum Pathol.1984;15(12):1147-65.
[9]Mod Pathol.2003;16(8):764-71.
[10]Cell.2015;161(7):1681-96.
[11]Melanoma Res.2006;16(4):267-73.
[12]Curr Biol.2005;15(3):249-54.
[13]Arch Dermatol.2003;139(3):282-8.
点击查看全文


本文仅供医学药学专业人士阅读

本文来源: 医学界肿瘤频道 发表,转载请注明来源!如有侵权请联系删除
癌症患者的饮食篇(二)
上一篇

癌症患者的饮食篇(二)

这些问题严重困扰70%的乳腺癌患者,有些甚至难以启齿!
下一篇

这些问题严重困扰70%的乳腺癌患者,有些甚至难以启齿!

阅读相关文章
最新抗癌笔记
top3

新年打卡

2024年02月17日
top4

好久没来

2024年02月17日
top5

CR

2024年02月01日
top6

七周年纪念!

2024年01月25日
扫描下方二维码回复 666 获取解锁验证码
步骤:[ 打开微信]->[ 扫描上方二维码]->[关注"三阴姐妹互助圈"公众号输入 666 获取验证码],即可永久解锁本站全部文章
验证码: