近几年,乳癌内分泌治疗领域最大的进展就是CDK4/6抑制剂的涌入,通过与传统内分泌药物联合,有效抑制内分泌耐药的通路,使病人接受内分泌治疗有效的时间明显延长,并最终助益于患者生存提升!目前,CDK4/6联合内分泌药物已经成为了全球各大指南晚期乳腺癌的一线优先推荐方案,当然也是传统内分泌药物耐药后的挽救选择方案。下面的一则案例显示,CDK4/6抑制剂联合方案对脑转移也有很好地控制作用!让我们一起来看看吧~
真实病例分享
01
起病,术后放疗+内分泌治疗,维持4年余
患者于2009年59岁时首次诊断为左乳早期乳腺癌,行保乳手术和前哨淋巴结活检,术后TNM分级为pT1c pN0 (0/1) (sn) L0 V0 cM0 G2 R0。雌激素受体阳性(>90%),孕激素受体阳性(>90%),HER2阴性。接受全乳放疗辅助治疗和来曲唑(Letrozole)辅助内分泌治疗,疗程4年。
02
4年后复发,肺、肝、脑多发转移,
病理活检依然为内分泌类型!
2017年10月,患者出现呼吸困难、咳嗽。胸部CT显示肺部、肝脏和淋巴结有多个可疑肿物。转诊乳腺癌科,行腹部CT和骨骼扫描完成分期。肝内多个53 × 45mm大小可疑肿物。有骨转移。抽血显示肝酶正常;体积描记显示失代偿性碱中毒、低氧血症、轻度梗阻和无限制性。
数天后,患者视力下降,转诊眼科。检查发现一个非色素性脉络膜视网膜肿瘤,很可能与乳腺癌转移相关,导致浆液性脱离。MRI显示至少有5个脑转移瘤和1个眶内转移瘤,视网膜增厚与眼科报告相符,还有1个颅骨转移瘤。
进一步进行了肺部CT定向活检证实乳腺癌转移是雌激素受体阳性(90%)、孕激素受体阳性(20%)、HER2阴性(1+)且Ki-67为15%的肿瘤。
03
患者拒绝放化,选择瑞博西利+阿那曲唑,
全身病灶明确缩小!脑部肿瘤长期稳定!
与患者进行结果讨论,考虑到肝、肺和脑的广泛肿瘤负担,初步推荐紫杉醇联合贝伐单抗化疗。此外,还讨论了芳香化酶抑制剂联合CDK4/6抑制剂的内分泌疗法。
大家可以关注公众号”三阴姐妹互助圈“下载三阴乳腺癌的治疗资料包和添加病友群,请扫下面的二维码。

患者拒绝了最初推荐的全脑放疗和任何化疗,开始阿那曲唑和CDK4/6抑制剂ribociclib治疗。患者服药4周后复诊。既往症状好转,视力受损以及呼吸困难明显改善。患者因此选择不接受任何形式的局部治疗。
2个月后随访的第一阶段显示治疗有效,肺和肝转移瘤的大小均缩小了50%以上。头部MRI显示脑转移瘤稳定,视网膜转移灶缩小50%以上。患者恢复正常视力后无症状,无呼吸困难。因此,阿那曲唑和ribociclib的治疗仍在继续。
一阶段8周后的第二阶段,包括脑转移在内的所有转移灶体积均缩小(表1);眶内转移灶完全缓解(图1)。病人自述生活质量非常好。
表1.治疗3.5个月后,脑实质转移瘤的大小
图1.头部MRI显示治疗开始时眶内转移导致黑色素(左),8.5个月后完全缓解(右)。
除中性粒细胞减少症外,治疗耐受性良好,因此在2017年5月将ribociclib的剂量从600 mg/day减少到400 mg/day,防止中性粒细胞减少症进一步发展。
3个月后,放射科医生针对头部MRI描述了部分脑转移瘤进一步缩小,部分病情稳定。患者在临床上仍能很好地耐受治疗,没有任何症状。因此仍继续治疗。
04
后续方案更迭,脑部持续稳定!
开始治疗近9个月后,行胸部和腹部CT以及头部MRI分期,结果显示:除肺和脑的病情稳定(图2),肝脏(8×10 cm)(图3)和颅骨观察到病情明显进展。肝活检证实激素受体阳性(ER 80%,PR 10%)和HER2阴性的乳腺癌转移,Ki-67为25%。就进一步的治疗方案与患者交流,并建议更换药物。患者因担心脑转移瘤希望继续使用ribociclib和芳香化酶抑制剂进行治疗,而在整个治疗过程中,脑转移瘤一直状态稳定。由于患者一般情况恶化,停止服用ribociclib,单独继续服用阿那曲唑。2个月后,下一阶段结果显示显示:除大脑外,所有转移部位都有进展性疾病。行肝动脉化疗栓塞术治疗肝转移瘤后,开始紫杉醇化疗。3个周期化疗的临床疗效良好,肝、肺部分缓解,脑部病变稳定。
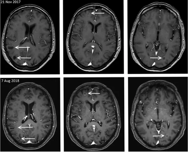
图2.实质性脑转移瘤MRI分期表现
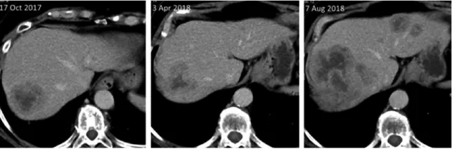
图3.肝转移瘤CT表现
该患者的病情在复发后呈现全身进展的重疾病状态,在这种疾病状态下,患者选择内分泌治疗(CDK4/6瑞博西利+阿那曲唑)获得了全身病灶的迅速缓解,连药物进入较困难的脑转移,也获得了一个长期的稳定。似乎提示不断增效的内分泌治疗方案,也能达到放化杀伤性治疗的效果。也展示了瑞博西尼的入脑能力,重病重治,强化的内分泌治疗也可以力挽狂澜!
参考资料:
Ribociclib in Breast Cancer Brain Metastases: A Case Report
本文仅供医学药学专业人士阅读






-scaled.jpg-pd13)







X