随着医疗手段的不断发展,针对肝癌的系统治疗也逐渐从晚期转向早期期患者。而随着T+A联合方案的获批,免疫联合在肝癌中的研究愈加火热!国产和进口的组合“特瑞普利单抗+仑伐替尼”也开始崭露头角。但这次并未瞄准晚期肝癌患者的系统治疗,而是转向肝癌患者的新辅助治疗以及转化治疗。
早期新辅助:
拓益单药或联合仑伐替尼疗效可期
在一个正在进行的Ib/II期试验中,符合手术切除条件的HCC患者(pts)被纳入。在新辅助部分研究中,A组患者单次给予特瑞普利单抗480mg iv, B组患者同时给予特瑞普利单抗480mg iv +仑伐替尼12或8mg每日口服(根据体重)。所有患者在第21-28天接受预定的手术。术后4周病理分析及MRI证实R0切
除的患者可参与辅助部分研究。
结果显示,16例患者(8例在A组,8例在B组)按照计划进行了切除,1例切除标本未见明显肿瘤,在其他15名患者中未观察到病理完全缓解(pCR)。3例患者(20%)获得了主要的病理反应(MPR,残留肿瘤<50%),其中2例在A组,1例在B组。这说明,PD-1抑制特瑞普利单抗无论是单药或是与仑伐替尼联合作为可切除HCC的术前新辅助治疗都是有希望的,具有抗肿瘤活性且未出现新的不良反应。
通过促进系统清除微生物残留疾病的辅助免疫治疗似乎对减少早期复发有效,同时具有预防作用,降低新生肿瘤的发生率。确定适合接受免疫辅助治疗的因素包括切除后的组织病理学高风险特征,如较高的肿瘤负担,分化差,多灶性,最重要的是微血管侵犯。由于同体移植物排斥率高,肝移植后复发的患者应避免使用免疫抑制剂。
晚期肝癌降期转化:
拓益联合仑伐替尼治疗后成功手术
2021年2月12日,一名52岁男性,体重76kg,在当地医院发现肝占位性病变。常规计算机断层扫描(CT)和增强磁共振成像(MRI)显示肝右叶肿物,影像科考虑肝癌(HCC)。于2021年2月19日因“上腹不适3周以上”转院。病人在病程中没有特别的不适。患者有20年未经治疗的乙型病毒性肝炎病史,近5年未作体检。
实验室检查:总胆红素(TBil) 16.9umol/L(正常0-26),结合胆红素(DBil) 8.1umol/L(正常0-8),血清白蛋白(Alb) 39.4g/L(正常40-55),谷丙转氨酶(GPT)47u/L(正常9-50),谷草转氨酶(GOT) 45u/L(正常15-40),碱性磷酸酶(ALP) 211u/L(正常45 – 125)。凝血酶原时间(PT) 12.1 s(正常:10 – 14),HBsAg (+), HBeAg (+), HBcAb (+), HBV DNA定量:2.36*10 3IU/ml,甲胎蛋白(AFP):> 1210 ng/ ml(正常:0-7)。
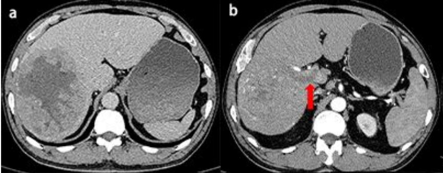
上腹部增强CT示:肝右叶可见低密度肿块,最大横切面135mm×104mm(图a);动脉期肿块增强不均匀,门静脉主干及右支低密度充盈缺损(图b)。
经多学科综合诊治,认为患者具有根治性切除指征,建议采用其他局部或全身治疗,以缓解病情进展。告知患者及其家属病情和治疗方案,最终决定采用靶向联合免疫治疗。
2021年2月21日,患者首次接受特瑞普利单抗240mg静脉滴注联合仑伐替尼8mg每日一次治疗,同时给予恩替卡韦片0.5mg每日一次抗病毒治疗。随后,患者分别于2021年3月12日、2021年4月02日、2021年4月22日接受相同方案治疗。治疗过程中AFP迅速下降,治疗过程中未发生不良事件。
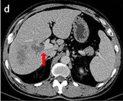
2021年4月22日上腹部增强CT显示:右肝叶肿物较术前减少,最大横截面109mm×85mm(图c)门静脉低密度充血缺损缩小,局限于门静脉右支(图d)。
2021年5月6日,患者来医院复查。上腹部增强MRI示肝右叶肿物,T1、T2混杂微高信号,门静脉右支增宽,T2微高信号。患者及其家属强烈要求手术治疗,充分告知了手术的风险和可能的预后,并签署了书面知情同意书。
2021年5月12日,在全身麻醉下实施“右肝切除+胆囊切除+门静脉肿瘤血栓清除+肠粘连松解术”。术中发现轻度肝硬化,肿瘤局限于肝脏V、VI、VII、VIII节段,大小约140mm×100mm。术后病理报告显示,镜下(右肝)大块坏死,纤维组织增生,炎症细胞浸润,含铁血黄素,(肿瘤血栓)退行性坏死物质和少量纤维结缔组织大量炎症细胞浸润;(肝切除术边缘)未见恶性指征。术后给予抗生素、保肝等对症治疗,术后9天安全出院,无并发症。
狭义的转化治疗是指原发性手术无法切除的肿瘤,通过术前治疗,达到肿瘤缩小和降期的效果,从而在手术技术层面上达到根治性切除的目的。然而,肝切除术往往受到肝功能等要求的限制,因此肝癌的转化治疗不应局限于术前临床分期的下降,而应通过多学科综合诊断和治疗,采用个性化方案,使疾病朝着更有利于预后的方向发展。肝癌有多种特异性转化治疗策略,但局部治疗和全身治疗的应答率均较低,不能像结直肠癌肝转移那样达到高达70%的ORR,限制了肝癌转化治疗的发展。将不能通过原发性手术切除的晚期HCC转化为可手术的,对改善HCC患者的预后和OS具有重要意义。这例晚期HCC伴PVTT Ⅲ患者经仑伐替尼联合特瑞普利单抗治疗后降为PVTTⅡ,并成功完成转化治疗,实现肿瘤R0切除。MTDs联合ICIs的良好疗效为晚期HCC的治疗开辟了新的方向。尽管在前瞻性随机对照试验中还有许多细节有待进一步探索和研究,但MTDs联合ICIs为晚期患者带来了更多的根治机会。
参考文献:
Successful Conversion Surgery for Massive Hepatocellular Carcinoma with Tumor Thrombus in Main Portal Vein after Treatment with Lenvatinib Combined with Toripalimab: A Case Report
本文仅供医学药学专业人士阅读

.jpg-pd13)
.jpg-pd13)


.jpg-pd13)












X