甲苯磺酸多纳非尼片是由中国自主研发的靶向药,是一种新型的多激酶抑制剂。药理研究表明,多纳非尼可以同时抑制VEGFR、PDGFR等多种受体酪氨酸激酶的活性,也可直接抑制各种Raf激酶,并抑制下游的Raf/MEK/ERK信号传导通路,抑制肿瘤细胞增殖和肿瘤血管的形成,发挥双重抑制、多靶点阻断的抗肿瘤作用。基于ZGDH3研究结果,于国际著名临床肿瘤期刊《临床肿瘤学杂志》(Journal of Clinical Oncology,JCO)上全文正式在线发表,标志着中国肝癌研究成功走向国际舞台。今天,我们就来看一下该项研究中的一例典型患者,在接受多纳非尼治疗后,长期生存超3年。
患者基本情况
男性,50岁,既往有慢性乙型病毒性肝炎及肝硬化,有糖尿病史,无手术史。
2011年3月16日,经病理检测诊断为肝细胞癌,BCLC-C期, 无门静脉侵犯和/或肝外转移;基线Child-Pugh评分为5;基线AFP水平为4.1μg/L,ECOG评分为0。
抗肿瘤治疗经过
2011-03-16,接受肝右叶部分切除术,术后病例不详;2011-05-17,接受TACE治疗,术后未见明显异常;2013-11-05,肿瘤复发,行右肝部分切除术,术后病理肝细胞II级;2013-12-30,行TACE术,术后随访;2015-03-09,复查MRI:肝癌二次术后,肝左外叶肝癌,行TACE治疗,术后随访;2015-09-18,复查MRI:肝右前膈顶部两枚结节较前增大,于19日行TACE治疗;2016-03-04,复查胸部CT:肝内病灶较前增大,3月4日行TACE治疗,病情进展。
2016-11-15,首次口服多纳非尼治疗(0.2g,每日两次口服),肿瘤些许增大,疗效评估为疾病稳定(SD),继续接受多纳非尼治疗,肿瘤持续稳定。经独立审查委员会(IRC)评估的无进展生存期(PFS)为7.5个月,经研究者评估的PFS为9.3个月。
研究期间病情变化
在2018-01-24和2018-07-05,分别接受TACE术,2019-01~2019-05,口服仑伐替尼治疗;2019-05-07~2019-10-18,口服西奥罗尼胶囊;2019-10-20,继续使用仑伐替尼。2020-03-10末次随访,患者仍然存活,从随机入多纳非尼组开始计,存活时间达到39.8个月。
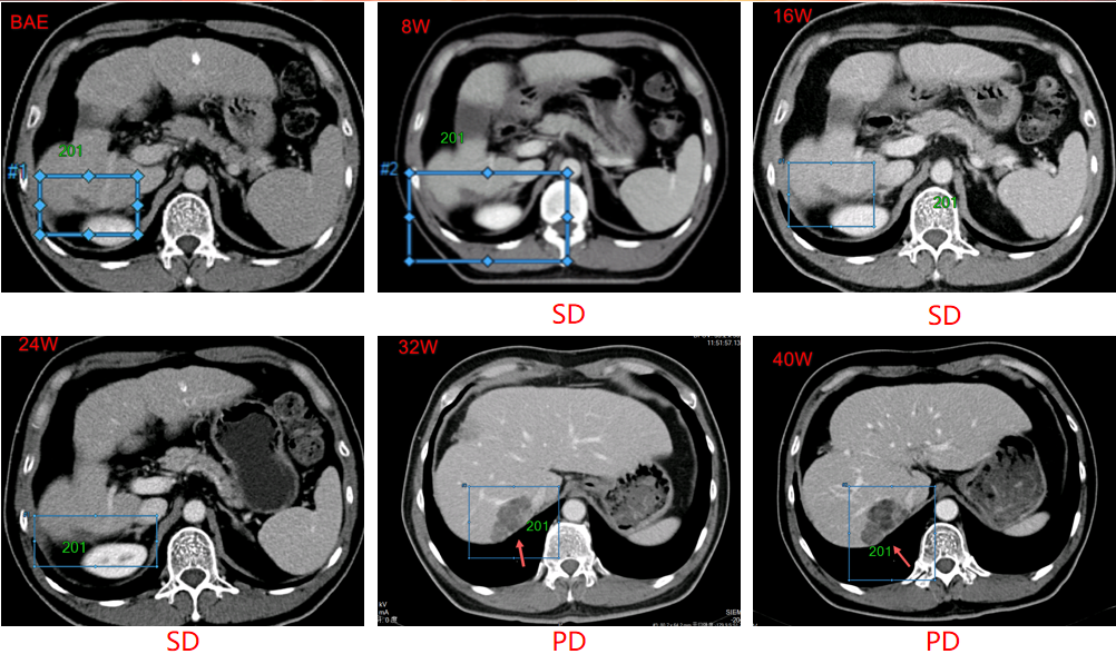
靶病灶影像学改变
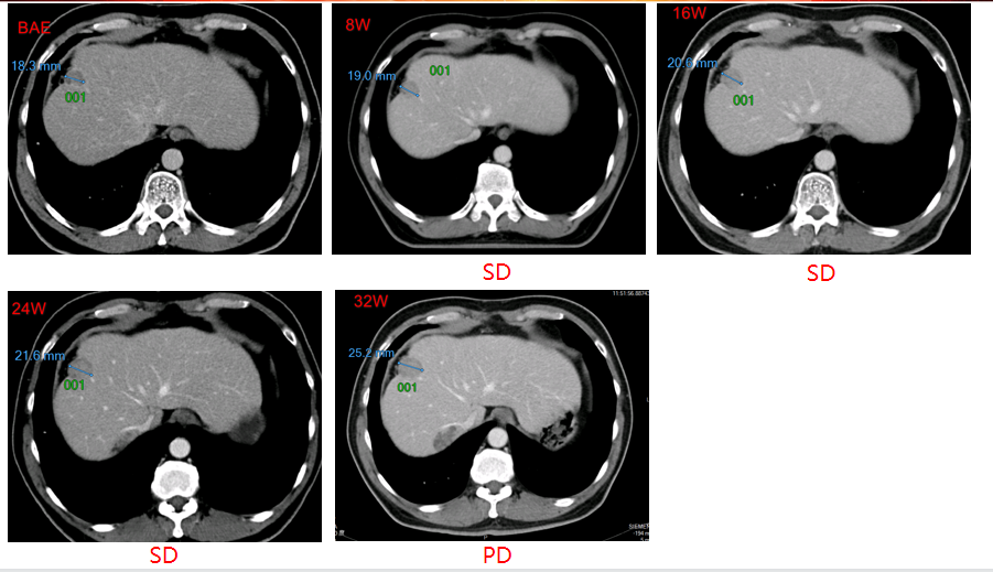
非靶病灶影像学改变:
安全性方面,仅出现1级手足综合征和1级体重下降,在未调整多纳非尼剂量的情况下已经恢复正常。
病例讨论
针对这一长生存案例,此次我们邀请到了来自南通大学附属肿瘤医院的徐爱兵教授进行了详细的解读:
1、本例患者在接受多纳非尼治疗后,肿瘤并没有出现缩小甚至出现些许增大,随后经疗效评估为疾病稳定(SD)。ZGDH3研究中,虽然多纳非尼的缩瘤效果并没有显著优于索拉非尼,但DCR为30.8%,说明接受多纳非尼治疗后保持疾病稳定的患者较多,而本例患者在治疗后疾病持续稳定近10个月也证实了这一点。此外,长期的疾病稳定则意味着患者无需更换治疗药物,也不会因更换治疗方案引起可能的整体生存时间的缩短。本例患者超3年的存活时间也证实了这一点。
2、多纳非尼治疗安全可靠。本例患者仅出现1级治疗相关不良事件,且对症治疗后很快恢复,无需调整多纳非尼的剂量。同时多纳非尼未影响患者的生活质量,在疾病进展出组后,患者后续接受多种治疗方案,均可耐受。在ZGDH3研究中,多纳非尼严重不良反应发生率为16.5%,低于索拉非尼的20.2%。这意味着,多纳非尼相比于索拉非尼更加高效低毒,作为肝癌一线治疗将更有优势。
本文仅供医学药学专业人士阅读














X