随着新型药物的出现,女性局部晚期乳腺癌(LABC)患者的预后有所改善,尤其是HER2过度表达或ERBB-2扩增的患者。基于曲妥珠单抗的治疗方案已成为指南中的一线治疗模式,而许多患者在治疗几个周期后出现疾病进展或由于原发性耐药而迅速进展。HER2扩增和非扩增患者均会发生ERBB2基因点突变,HER2非扩增队列的比例为2%,HER2扩增人群的比例为1.48%。在曲妥珠单抗治疗前的患者中,ERBB2的获得性突变比率显著升高至16.7%-17.7%。ERBB2突变可能是接受抗HER2单克隆曲妥珠单抗或曲妥珠单抗和帕妥珠单抗双重抗HER2抗体或酪氨酸激酶抑制剂治疗的患者耐药和疾病进展的关键原因。L755S和V842I的ERBB-2突变表明对曲妥珠单抗耐药,而L755S和K753I的ERBB-2突变表明对拉帕替尼耐药;这些突变可能对pan-HER酪氨酸激酶抑制剂敏感。本文报告了一例曲妥珠单抗治疗三线治疗耐药后,吡咯替尼加卡培他滨辅助治疗显著获益的乳腺癌患者病例。患者女,48岁,于2017年3月无意中自觉左乳外上象限有一约2cm×1cm无痛性包块,因疏忽逐渐增大。2017年9月肿块迅速增大至7cm×6cm,乳房皮肤出现浸润性红斑、破溃。2017年10月入住我院,行乳腺磁共振成像(MRI)检查(图1A)示:左乳91mm×55mm×87mm肿块,边缘不清,内部强化不均匀;乳腺影像报告和数据系统(BI-RADS)分类确定为5。此外,观察到左腋窝淋巴结肿大。
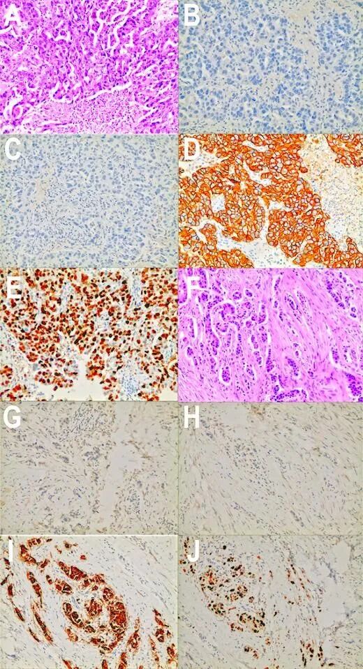
实验室检查显示癌胚抗原(CEA)水平正常(0.926ng/mL)和癌抗原15-3(CA15-3)水平较高(61.4U/mL)。随后于2017年10月28日行粗针穿刺活检,病理诊断浸润性导管癌,组织学分级2级,雌激素受体(ER)阴性、孕激素受体(PR)阴性,HER-2过表达(+++),增殖指数Ki-67高(70%)(图2A—E)。
患者身体健康,无高血压、糖尿病病史,无吸烟、饮酒等不良嗜好。13岁初潮,末次月经2017年10月11日。在治疗开始之前,研究者对该患者进行了全面的检查,并排除了任何远处转移。根据第7版美国癌症联合委员会(AJCC)分期手册,临床分期为cT4N2aM0。由于当时帕妥珠单抗和T-DM1尚未在中国获批,在获得知情同意后,研究者根据美国国家综合癌症网络(NCCN)指南采用了TCbH方案(多西他赛,75mg/m2d1;卡铂,AUC=6d1;曲妥珠单抗,第1周期8mg/kg,此后6mg/kgd1),21天/周期作为一线治疗。5个周期后(2017年11月6日-2018年1月30日)复查乳腺MRI(图1B):肿块大小由91mm×55mm×87mm缩小至84mm×48mm×72mm,根据实体瘤疗效评价标准(RECIST 1.1版)评价标准,研究者将治疗效果判断为疾病稳定(SD)。
二线治疗过程
大家可以关注公众号”三阴姐妹互助圈“下载三阴乳腺癌的治疗资料包和添加病友群,请扫下面的二维码。

基于NOAH试验,联合应用曲妥珠单抗和蒽环类药物的有限周期有效,心脏毒性可控。因此,研究者选择ECH(表柔比星,90mg/m2d1;环磷酰胺,600mg/m2d1;曲妥珠单抗,6mg/kgd1,21天/周期)方案作为二线治疗(2018年2月27日-2018年5月23日)。4个周期后复查乳腺MRI(图1C)示:肿瘤由84mm×48mm×72mm缩小至66mm×29mm×56mm,按RECISTv1.1评价标准,治疗效果仍为SD。由于疗效仍未达到PR,因此将方案改为白蛋白结合型紫杉醇联合曲妥珠单抗。对于既往接受过紫杉烷类治疗的转移性乳腺癌患者,白蛋白结合型紫杉醇+曲妥珠单抗的客观缓解率仍为54.2%,在GBG69试验中,白蛋白结合型紫杉醇+曲妥珠单抗(EC)作为新辅助治疗优于紫杉烷联合曲妥珠单抗(EC)。因此,研究者选择白蛋白结合型紫杉醇联合曲妥珠单抗作为三线治疗(白蛋白结合型紫杉醇,125mg/m2d1,d8;曲妥珠单抗,6mg/kgd1,21天/周期)。患者在前两个周期后获得PR(图1D),但两个周期后,疗效恶化至疾病进展(PD)(图1E)。由于患者在三线基于曲妥珠单抗的治疗方案后出现获得性曲妥珠单抗耐药,因此需要另一种具有不同抗HER2治疗机制的治疗方案。为研究耐药的潜在原因,采用肿瘤再穿刺的组织进行425个基因panel的新一代基因测序(NGS)。根据NGS报告,检测到ERBB2、CDK12和MYC扩增持续存在,丰度分别为15.7、16.2和7.6。同时,IDH1基因上存在p.R314H突变,TP53基因上存在p.H179R突变。ERBB2基因上,患者有L755S和K907R突变。L755S突变表明对曲妥珠单抗和拉帕替尼耐药,可能对来那替尼敏感,这是一种不可逆的pan-HERTKI。当时,来那替尼还没有进入中国,一个类似的药剂吡咯替尼刚刚获得国家食品药品监督管理总局(NMPA)的批准,其II期试验已经表明,用于治疗晚期HER2阳性乳腺癌患者,吡咯替尼联合卡培他滨的疗效优于拉帕替尼联合卡培他滨。因此,研究者选择吡咯替尼加卡培他滨(吡咯替尼,400mg/日d1—21;卡培他滨,1250mg/m2bidd1—14,21天/周期)作为四线治疗方案。6个周期后(2018年8月28日-2018年12月29日),患者达到PR(图1F-I),乳房表面几乎完全愈合。患者于2019年1月16日行左乳腺癌乳房切除局部旋转皮瓣移植术,术后病理报告:浸润性导管癌,Miller—Payne分级4级改变,肿瘤大小1.0cm×0.8cm×0.8cm,淋巴结阴性(0/14)。免疫组化提示ER(-)、PR(-)、C-erbb-2(+++)、ki-67(70%+)。患者继续接受吡咯替尼联合卡培他滨(吡咯替尼,400mg/天d1–21;卡培他滨,1,250mg/m2bidd1–14,21天/周期)同步放疗(左胸壁加左锁骨上区,5000cGy/25f),吡咯替尼联合卡培他滨继续给药1年。吡咯替尼加卡培他滨辅助治疗1年后总体检查无转移或复发征象。患者因重度手足综合征暂停卡培他滨治疗,并服用吡咯替尼单药再治疗1年(表1),第二次(2019年6月)和末次定期随访(2021年3月)显示无转移或复发体征。
对于HER2阳性LABC,以曲妥珠单抗为基础的方案是标准治疗,但许多患者对ERBB2突变体产生耐药性。在某些情况下,如L755S突变,吡咯替尼是一种可靠的药物,提供了一种安全有效的治疗选择,其显著的疗效改变了晚期HER2阳性乳腺癌患者的治疗策略。NMPA已批准吡咯替尼作为HER2阳性晚期乳腺癌的二线治疗药物。研究者期望更具体和更适合的患者在新辅助/辅助治疗中从吡咯替尼中获益。
[1]Gao Z,Xu J,Wang Y,Wu J,Sun T.Case Report:Effective Treatment With Pyrotinib and Capecitabine in a Heavily Pretreated Locally Advanced Breast Cancer Harboring Both HER2 Overexpression and Mutant.Front Oncol.2021;11:715554.Published 2021 Oct 14.doi:10.3389/fonc.2021.715554