肝内胆管癌(ICC)是一种侵袭性胆道癌(BTC),具有独特的解剖、分子和临床特征。在过去的10-20年里,ICC已成为人们日益关注的焦点,因为它在世界各地的发病率和死亡率不断上升。手术是唯一可能治愈ICC的治疗选择,但患者复发率高,预后差。吉西他滨-顺铂(GemCis)化疗方案仍然是不可切除转移性ICC患者的标准治疗方案。对于姑息性系统性治疗的病理性ICC反应数据有限。
考虑到与ICC相关的不良结果,患者和医生迫切需要新的治疗选择。近年来,免疫检查点抑制剂(ICIs)的出现极大地改变了癌症治疗的前景。此外,最近有报道称肿瘤切除前新辅助免疫治疗的可行性和安全性。然而,TMB-H型ICC对新辅助免疫治疗的反应数据有限。在这里,我们给大家分享一例47岁的转移性ICC患者,其微卫星稳定(MSS)和高TMB突变,在连续使用GemCis/白蛋白结合紫杉醇和帕博利珠单抗治疗后获得了完全的病理缓解。
患者抗肿瘤治疗经过
患者男性,47岁,既往有复发性胆管结石的病史,由于进行性肩部和背部疼痛而就诊于骨科医生。在脊柱MRI评估患者背痛时,发现肝脏中央有一个肿块。
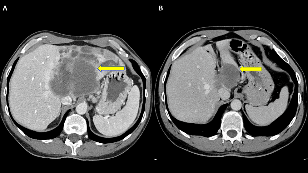
磁共振胰胆管造影(MRCP)及四期肝脏CT扫描显示一个跨越双侧肝叶的大肿块,测量10*8*8cm,怀疑ICC,侵犯左、中肝静脉,并直接累及右肝静脉。肝动脉左支和门静脉左支也有损伤。由于肝内下腔静脉(IVC)的侵犯,肿块造成了显著的压迫。同时可见几个增大的肝胃淋巴结和右侧腹主动脉旁淋巴结。
 
胸部CT显示肺部未见任何病灶或肿块。MRCP显示左侧肝内胆管扩张,但肝总管和胆总管均未扩张。甲胎蛋白(AFP)水平正常,碳水化合物抗原(CA) 19-9肿瘤标志物升高至173 U/mL(阴性< 35 U/mL)。活检证实为中分化腺癌。
免疫组化染色(IHC)结果如下:CK 7和CA19-9阳性,CDX2局部阳性,细胞角蛋白20 (CK20)染色偶见肿瘤细胞,甲状腺转录因子1 (TTF-1)和肝细胞石蜡1 (HEF-1)阴性。
最终诊断为晚期胆管癌。突变分析未检测到成纤维细胞生长因子受体2 (FGFR2)重排和人表皮生长因子受体2 (HER2)突变。在NGS分析中没有发现神经营养原肌球蛋白受体激酶(NTRK) 1、2、3和IDH 1和2突变。
他开始接受吉西他滨800mg/m2和顺铂25mg/m2治疗,在第二个周期加入紫杉醇100mg/m2。患者总共完成了三个周期的GemCis和nab-紫杉醇治疗,没有出现意外的副作用。NGS显示微卫星稳定性(MSS/pMMR),TMB高表达。
考虑到患者为TMB-H,遂停用GemCis+nab-紫杉醇化疗,开始每三周使用帕博利珠单抗200mg进行免疫治疗。后续CT扫描显示肿瘤反应,肿瘤大小在开始免疫治疗的三个月内从10*8.3cm减少到6.2*4.3cm。
在接受了5个周期的帕博利珠单抗治疗后,肿瘤在接下来的CT中显示为囊性转变,基于这种情况,肝胆外科团队重新评估患者是否可进行手术切除。标准化肝脏体积估计为57.6%,因此,患者接受了开放的扩大的左肝切除术,部分下腔静脉切除,门静脉和腹膜后淋巴结切除术,并重建右肝静脉。病理分析证实,患者对治疗有完全的反应,在标本中没有存活的肿瘤。肿瘤最大直径6.5 cm,切除的淋巴结未见癌变。患者术后未见严重不良反应,并在术后6个月继续保持良好的状态。患者计划继续使用两年的帕博利珠单抗辅助治疗。
病例讨论
在本病例报告中,我们描述了一个独特的转移性TMB-H型ICC患者,对序贯化疗和免疫治疗取得了完全的病理反应。从ABC-02试验到最近的BILCAP试验,标准化疗显示出有限的疗效,只有中等的缓解率和OS。最近GemCis和nab-紫杉醇三联疗法显示有效率(ORR)达45%,OS达到19个月。事实上,在标准的新辅助化疗中,pCR在ICC是一种罕见的事件。在ABC-02试验中,161名接受GemCis的患者中只有1名患者获得pCR。因此,细胞毒性化疗有限的反应率推动了对这种疾病的新替代治疗的研究。
很少胆管癌病例报告了帕博利珠单抗的疗效,既往,在微卫星不稳定或错配修复基因缺陷(MSI-H/dMMR)患者中,极少数单独使用帕博利珠单抗获得pCR。相反,本例患者是pMMR和MSS,但同时为TMB-H。TMB已经成为一种独立的预测生物标志物,FDA已批准帕博利珠单抗治疗既往治疗、复发或转移性TMB-H型晚期实体瘤患者。
在确诊时,肿瘤体积为10*8.3 cm,侵犯血管系统,在技术上无法切除。起初,患者接受了使用吉西他滨、顺铂和白蛋白-紫杉醇的三联姑息性化疗。在三个周期后,评估为部分反应(PR),然而,肿瘤仍然被认为是不可切除的。考虑到TMB-H状态,给予帕博利珠单抗之来哦。7个周期后,CT仍显示一个相当大的肿瘤,并伴有肝右静脉的囊性转变;然而,现在可以通过肝静脉重建手术切除。由于治疗完全缓解,病理检查无存活肿瘤,因此不提供辅助化疗。
综上所述,本案例突出了化疗序贯免疫治疗晚期ICC的疗效,也强调了基于NGS的基因组检测在局部晚期或转移性ICC病例中获得的信息对指导治疗的重要性。这一治疗方案值得进一步的研究,为患者带来新的治疗选择!
参考来源:
Abudalou M, Vega E A, Kondratiev S, et al. (December 05, 2021) Complete Pathological Response to Neoadjuvant Chemoimmunotherapy in a Patient With Metastatic Intrahepatic Cholangiocarcinoma With High Tumor Mutational Burden. Cureus 13(12): e20187. doi:10.7759/cureus.20187
							
						
本文仅供医学药学专业人士阅读

 
 
				 
							












 
		 
            
           
	   
	    
 
   X
		X