肝细胞癌(HCC)是全球癌症相关死亡的主要原因之一。近年来,虽然影像学技术和治疗策略取得了长足的进步,但是晚期HCC仍有较差的预后。目前,转化治疗作为一种新兴的治疗方案逐渐进入大众视野,通过放疗、化疗、靶向治疗、免疫治疗等治疗后,使原来无法切除的肿瘤变成能达到R0切除。虽然既往有报道使用索拉非尼后进行肝癌转化手术,但使用瑞戈非尼二线治疗后进行肝癌转化手术的报道较少。我们在此报告了一个晚期不可切除的HCC患者,在接受瑞戈非尼二线化疗后,通过转换手术成功治疗。
国际肝胆
患者就诊过程及整体情况
基本情况
患者男性,68岁,慢性丙型肝炎感染,既往有高血压和2型糖尿病病史。患者因肝癌进一步治疗入院。入院时神志清醒,身高168cm,体重76.9公斤。体格检查没有发现贫血或黄疸的迹象。腹部平软,肝脾摸不到。
实验室检查:谷氨酸转氨酶水平91 IU/L,天门酸转氨酶水平49 IU/L, γ谷氨酰转移酶水平37 IU/L,碱性磷酸酶水平373 IU/L,总胆红素水平0.9 mg/dL。血清AFP水平17034 ng/mL;DCP为2275mAU/mL,CEA为4.5μg/L;CA19-9 27 U/ml;Child-Pugh A级。
抗肿瘤治疗经过
1
既往手术史
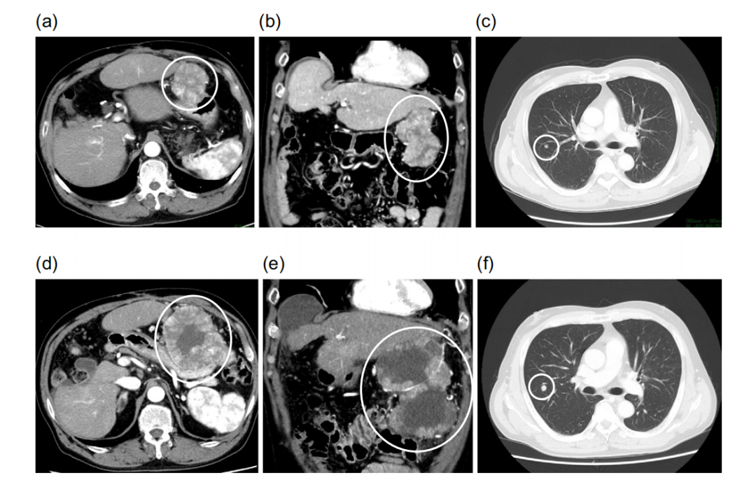
患者因HCC破裂接受了急诊经导管动脉栓塞术(TAE),随后接受了肝第5段部分切除术和肝第6段亚段切除术。肝切除术后6个月,患者因腹膜播散再次在附近医院接受TAE,并行大网膜结节切除术和部分降结肠切除术。第二次手术7个月后,CT显示肝第7节段HCC复发并伴有腹膜播散。经导管动脉化疗栓塞(TACE)治疗肝7段。TACE术后1个月CT显示肝内肝癌复发及肺转移。
2
一线索拉非尼耐药
患者开始服用800mg/天的索拉非尼(标准剂量),没有出现不良事件。但治疗3个月后病情进展(PD),索拉非尼被判定无效。
3
瑞戈非尼二线治疗实现降期转化
瑞戈非尼的起始剂量为160mg,每天口服一次,用3周停1周。治疗初期,患者出现3级低磷血症,对症治疗后得到了改善。开始瑞戈非尼治疗 9个月后,由于出现2级手足综合征,暂停使用瑞戈非尼。停用10天后,他重新服用瑞戈非尼,剂量降低为标准剂量的一半,即80mg,每天1次。减少剂量后,没有出现不良事件,所以在减少剂量9个月后,瑞戈非尼的剂量增加到160mg/天。患者在接受瑞戈非尼治疗10个月时病灶就达到部分缓解(PR)。
AFP水平从最大值47,050 ng/mL下降到24.6 ng/mL,DCP水平从最大值56171 mAU/mL下降到38 mAU/mL。
在瑞戈非尼治疗19个月后,他接受艾尔巴韦和依巴司韦格佐普韦片治疗HCV,并在治疗后12周获得持续病毒学应答(SVR)。瑞戈非尼治疗22个月后,CT显示新的肺转移和腹膜播散增强结节,大小为10mm。PET/CT显示腹膜播散性高代谢病变,最大标准化摄取值(SUVmax)为5.6,而右肺转移灶为2.4。
腹膜播散行手术切除,病理结果为HCC转移。第三次手术后2个月,CT显示肝3段HCC复发,肺转移灶的大小没有变化。HCC为单个小于20mm的结节,接受射频消融(RFA)治疗。肺部转移采用胸腔镜手术(VATS)治疗。距离肝细胞癌破裂已经过去了4年零6个月,基于这些治疗,病人仍然存活。
肝癌破裂是原发性肝癌严重的并发症之一。与未破裂的HCC相比,破裂的HCC与较差的生存相关,中位总生存期分别为8.9周和28周。本例患者属于晚期不可切除的肝细胞癌,尽管接受索拉非尼治疗后病情进展迅速,但对瑞戈非尼二线治疗反应良好,在接受瑞戈非尼治疗后能够达到PR,并通过转化手术成功治疗。肝癌破裂4年6个月后,患者生存状况良好。
本文仅供医学药学专业人士阅读


















X