随着对肝癌治疗的不断研究,尤其是5年生存率的不断提高,使得患者对于长生存的期望值不断上升。多纳非尼是一款国产的多激酶靶点抑制剂,在ZGDH3研究中,显示出多纳非尼在生存获益和安全性上均优于索拉非尼。多纳非尼在肝癌领域实现了里程碑式的突破。今天,来自中国医学院肿瘤医院的张雯医师给大家分享一例入组该项研究的患者,在接受多纳非尼治疗后,持续生存超40.1个月!
患者基本情况
患者女性,45岁,既往有慢性乙肝病史,无手术史。
2015-6-23,经病理诊断为HCC,BCLC分期为C期,伴有门静脉侵犯和/或肝外转移,基线Child-Pugh评分为5,基线AFP水平为3008μg/L。
抗肿瘤治疗经过
2015-06-18,接受肝左叶切除术,切缘阴性,术后恢复良好。2016.11,复查CT提示双肺结节增大,考虑双肺转移。2016-11-28,患者首次接受多纳非尼治疗(0.2g,每日两次口服),治疗初期,靶病灶显示轻微缩小,经评估为疾病稳定(SD),继续接受多纳非尼治疗,靶病灶持续缓解,经评估疗效达到部分缓解(PR)。整个治疗期间,独立审查委员会(IRC)评估的患者最佳疗效为SD,但研究者评估的最佳疗效为PR。同样,经IRC和研究者评估的无进展生存期(PFS)分别为为11.2个和15.1个月。
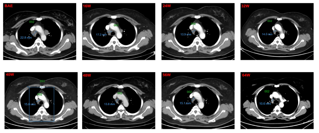
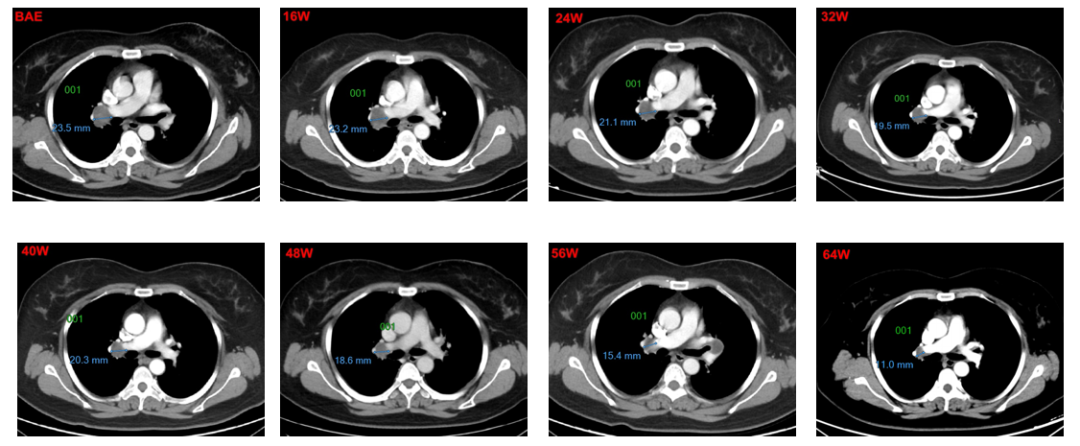
1号靶病灶为纵膈淋巴结,8w-40w,靶病灶整体被评为SD,48-64W整体被评为PR;
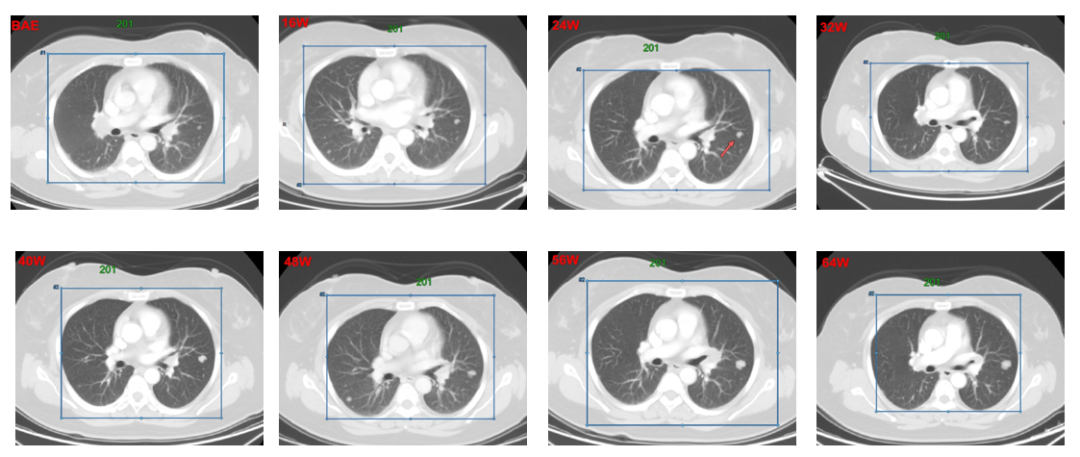
靶病灶影像学改变:
1号非靶病灶位于左肺,8w-40w被评为SD,48w-64w被评为PD
2号非靶病灶位于肝右叶,8w-64W被评为SD
3号非靶病灶位于纵膈淋巴结,8w-64W被评为SD
在多纳非尼治疗期间,患者AFP水平持续下降,但在疾病进展时,AFP水平有些许升高,但很快降低。
安全性方面,患者出现的多为1级或2级不良反应,未出现严重不良反应在相应的对症治疗后已恢复或正在恢复,且各不良反应未造成多纳非尼剂量调整。
患者出组后,于2018年4月3日接受PD-1免疫治疗,末次随访时患者仍然存活,截至2020年3月20日,从随机入多纳非尼组开始计,该患者达到OS 达到40.1个月。
讨论
此次,我们邀请到了中国医学科学院肿瘤医院的崔成旭教授,针对这一长生存的病例进行了深度的解读。
1、最佳疗效评估为部分缓解(PR),多纳非尼缩瘤效果尚可?
针对本例患者最佳疗效的评估,第三方阅片中心与研究者之间出现了分歧,根据研究者评估,本例患者的最佳疗效为部分缓解,主要是基于患者两处靶病灶都达到了部分缓解的状态。而第三方阅片中心可能基于整体疗效进行的评估,三处非靶病灶都处于疾病稳定的状态,因此,定义最佳疗效为SD。但不可否认的是,多纳非尼确实使患者的靶病灶出现了缩小,也就是说,多纳非尼确实产生了缩瘤效果。随着转化治疗的盛行,药物的缩瘤效果也逐渐被重视起来,在ZGDH3研究中,多纳非尼与索拉非尼之间的客观缓解率并没有显著性的差异。但本例患者的疗效也似乎透露了一信息,多纳非尼或许也可称为转化治疗的候选药物。
2、治疗后AFP迅速降低,并长期维持低水平
AFP与肝癌及多种肿瘤的发生发展密切相关,在多种肿瘤中均可表现出较高浓度,可作为多种肿瘤的阳性检测指标。目前临床上主要作为原发性肝癌的血清标志物,用于原发性肝癌的诊断及疗效监测。本例患者在治疗初期,AFP水平远超正常水平,在接受多纳非尼治疗12周时即显著降低,此后长期维持在低水平。一般来说,AFP的升高与肿瘤的发生发展也有一定的相关性。本例患者在疾病进展时,AFP水平相对于之前有些许升高。因此,在肝癌治疗中,随时监测AFP变化水平也是有必要的。
3、整体生存超40.1个月,再创新高
长期生存一直是肿瘤患者治疗的最终目标。多纳非尼在与索拉非尼的头对头比较中,显示出在总生存方面的优效性。本例患者在截至末次随访时仍然存活,此时总生存已长达40.1个月。当然,如此长的总生存,60周影像学评估依然维持PR离不开较长的无进展生存和多纳非尼良好的安全性。本例患者在接受多纳非尼治疗60周后,影像学评估依然维持PR,PFS长达15.1个月,远超现有一线治疗靶向药物。此外,多纳非尼安全性良好,不良反应可控,未发生≥3级的ADR,1-2级不良事件经处理均恢复,或未处理自行恢复,未发生导致停药或降低剂量的不良事件。可以说,多种因素构成了多纳非尼如此之长的总生存,未来值得期待。
本文仅供医学药学专业人士阅读

.jpg-pd13)







X