随着消化内镜技术的不断发展,早期消化道肿瘤的检出率大大加强。
众所周知,早期胃癌的5年生存率远远高于可手术的进展期胃癌,所以提高早期胃癌的诊断水平尤为重要。
国内早期胃癌临床诊治采用日本的诊断器械和内镜切除方法,内镜医师习惯运用日本医师制定的诊断标准。国内病理诊断医师习惯采用以西方观点为核心的WHO诊断标准。但日本和西方WHO针对早期胃癌的诊断标准存在区别。
WHO 5th消化系统肿瘤分类出版后,缩小了西方和日本两个诊断标准的差距,缓和了内镜和病理诊断不匹配的矛盾。但是二者之间的矛盾和差距依然存在。
下面对早期胃癌病理诊断的西方WHO和日本标准分别进行梳理。
1.胃癌的发生西方串联标准:
HP感染→胃炎→萎缩→肠上皮化生→异型增生/腺瘤→肠型胃癌。
2.定义:胃黏膜异型增生是明确的肿瘤性病变,属前驱病变;早癌WHO 4th定义为癌组织局限于黏膜及黏膜下层(pT1,LN+/-),WHO 5th删除了定义章节。
3.ICD-0编码:8148/0 腺上皮异型增生,低级别;8148/2 腺上皮异型增生,高级别。
4.临床表现:内镜下表现为扁平、凹陷或隆起(息肉样)病变,并伴有糜烂/溃疡和颜色的变化。窄带成像放大内镜可以明显改善内镜评估水平,注重对黏膜上皮和上皮下血管的观察。(肉眼分型如下图)
——图片引用《胃癌病理》
5.不同形态类型的异型增生之组织病理特点:
常见类型为肠型异型增生和小凹上皮型异型增生;亚型为锯齿状异型增生(低级别/高级别);隐窝型异型增生(如下图。备注:肠型异型增生属于普通型异型增生;小凹上皮型、锯齿状、隐窝型异型增生属于非普通型异型增生)。
肠型胃黏膜异型增生——A:低级别异型增生,高柱状的细胞分化呈肠型细胞,细长的核位于细胞基底;B:高级别异型增生,高柱状的细胞,细胞核极性消失。(属普通型异型增生,细胞异型性低,但结构不典型性明显)
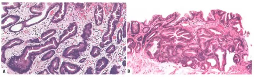
小凹上皮型胃黏膜异型增生——A:低级别异型增生,高柱状的细胞有区别于正常的胃小凹上皮细胞,细长的核位于细胞基底;B:异型增生的细胞免疫组化MUC5AC阳性。(属非普通型异型增生)
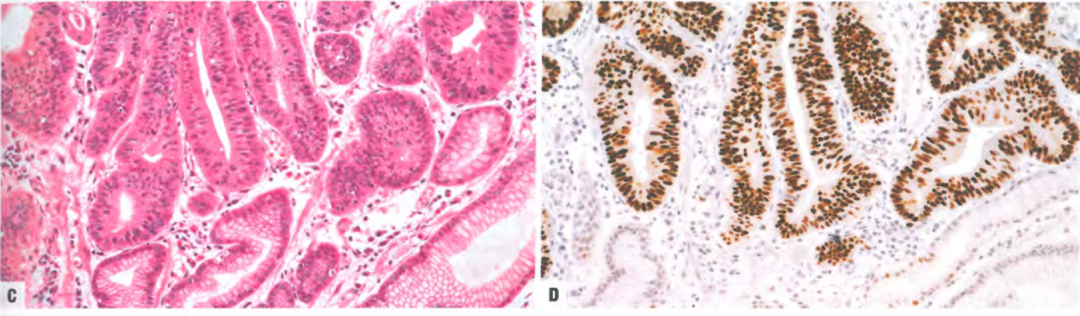
小凹上皮型胃黏膜异型增生——C:高级别异型增生,高柱状的细胞之细胞核失去极性;D:异型增生的细胞免疫组化P53过表达。(属非普通型异型增生)
亚型——A:隐窝型胃黏膜异型增生:异型增生的细胞局限于胃小凹深部,表面成熟的上皮呈锯齿状;B:锯齿状异型增生。(属非普通型异型增生)
——图片引用5th消化系统WHO
6.异型增生分级:无论其形态类型,根据核异型性程度(即核拥挤、核深染、核复层)、核分裂、细胞质分化及结构的变化,将异型增生分为低级别异型增生LGD和高级别异型增生HGD。
低级别异型增生LGD——肿瘤细胞为轻度-中度异型性,细胞核深染,在肠型异型增生中细胞核呈细长的雪茄样;在小凹上皮型异型增生中核呈圆形至椭圆形。这两种类型的异型增生,其细胞核均保持极性,核位于细胞基底位置,核分裂为轻度-中度。腺体结构相对保存是LGD的特点。
高级别异型增生HGD——肿瘤细胞为立方或柱状,细胞异型性明显,细胞核增大,核/浆比增高,明显的嗜双色核仁,核极性消失,非典型的细胞核延伸至管腔表面,病理性核分裂多见。
腺体结构复杂,扭曲、背对背。当观察到轻度的细胞异型性,但具有明显的结构异型性的病例(如不同大小、形状的腺体)也应被诊断为HGD。
7.黏膜内癌定义:侵犯黏膜固有层或黏膜肌的肿瘤。与高级别异型增生HGD的区别在于,黏膜内癌存在明显的结构异型性。如腺体过分拥挤、分支、出芽或呈筛状,无论是否存在促结缔组织反应,均视为黏膜内癌的表现。单个细胞浸润或小片状生长、腺腔内坏死、不规则爬行或融合、或小的退行性腺体可能是有用的发现。
附表:胃黏膜上皮低级别异型增生VS.高级别异型增生(WHO 5th)
附表:胃黏膜上皮异型增生诊断标准(WHO 5th)
1.胃癌的发生日本并联标准:
2.定义:早癌包括WHO的异型增生和早期浸润性癌(pT1,LN+/-)。日本不建议使用WHO异型增生的术语,肿瘤性病变包含腺瘤和腺癌。
3. 日本标准:
①当细胞低异型性(N/C<50%,类似于WHO的低级别异型增生的细胞学改变),结构异型性也不明显时,观察病变与周围正常黏膜组织是否有分界,或伴有表面上皮分化不成熟,或细胞分化单一,或细胞增值带分布不规则,均提示存在病变;
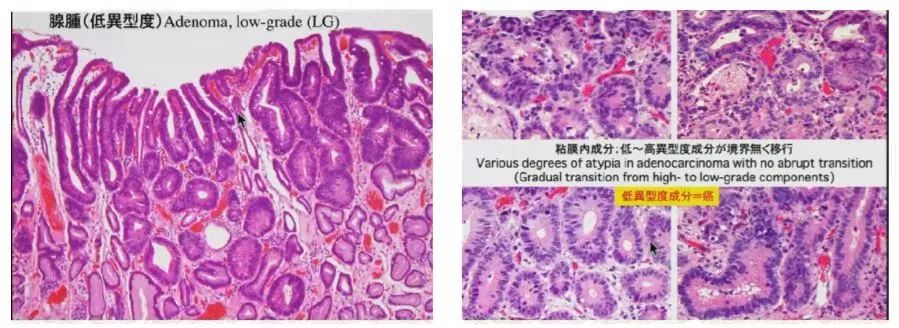
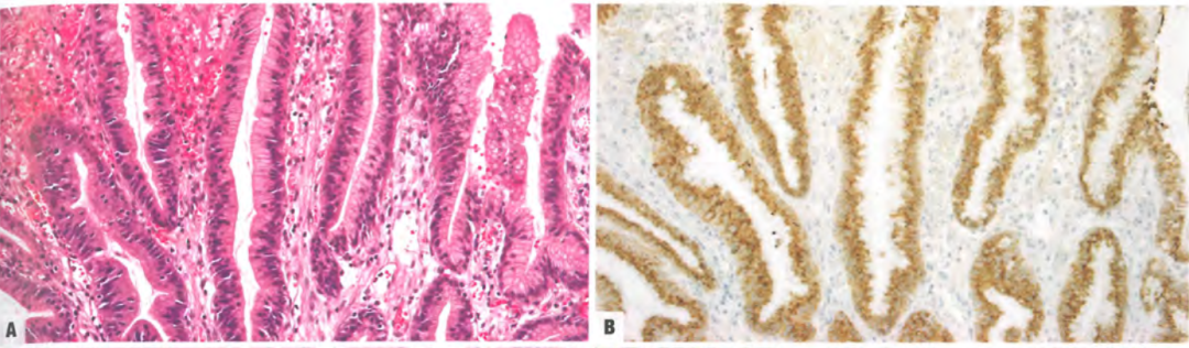
当病变黏蛋白表型提示胃型表达(胃型粘液表型分别异常),也支持分化型癌诊断。所以WHO诊断标准下的低级别异型增生LGD可能会是日本标准的低异型的分化型癌(tub1)(如图)。
LGD(WHO标准)/高分化管状腺癌(日本标准)——引用八尾隆史教授线上会议图片。
②当细胞低异型性,结构异型性明显时,早癌诊断并不困难。
③当细胞高异型性,在无结构异型性和间质浸润证据时,仅依靠细胞高异型性也支持诊断癌。所以对细胞异型性的观察很重要(如图)。
HGD(WHO标准)/高分化管状腺癌(日本标准)——引用八尾隆史教授线上会议图片。
④当细胞高异型性,结构异型性明显时,早癌诊断并不困难。
4. 低异型性腺癌:八尾教授的定义为细胞异型性非常低的癌(N/C<50%)。特点是肿瘤组织和周围正常组织存在界限,并且偏离正常组织结构的一个增殖性病变。结构异型性就是黏膜浸润的一种表现,存在这一表现支持低异型腺癌,没有这一表现支持腺瘤(如图)。
——引用八尾隆史教授线上会议图片。
5. 黏膜内癌:当病变偏离、失去正常胃粘膜结构时,按照日本标准认为此类病变是存在间质浸润的,视为黏膜内癌。
黏膜内癌伴有间质浸润(日本标准)——引用八尾隆史教授线上会议图片。
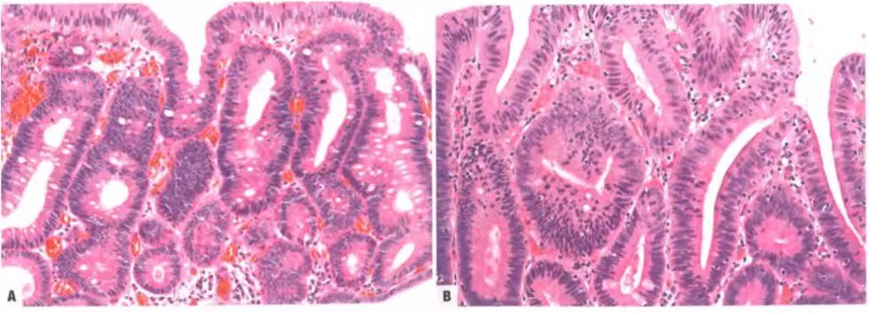
6. 鉴别诊断:与再生性改变鉴别。下图示一例胃黏膜伴肠上皮化生的病变。单看深层胃黏膜腺体,虽然细胞核浆比增高,但这是胃黏膜增殖带所在。依次观察从深层到中层,再到表层胃粘膜,细胞逐渐分化,细胞核逐渐变小,显示细胞分化成熟的特点,并且表层黏膜与周围黏膜无界限存在,以上特点均支持胃黏膜再生性改变。
非肿瘤,再生性改变——引用八尾隆史教授线上会议图片
附表:胃黏膜上皮异型增生/早癌(WHO 5th)VS.日本标准对照
2.WHO Classification of Tumours Editorial Board. WHO classification of tumours. Digestive system tumours[M]. 5th ed. Lyon: IARC Press, 2019.
3.塚本彻哉.胃癌病理[M].宫健,译.沈阳:辽宁出版社,2019.
本文仅供医学药学专业人士阅读

.jpg-pd13)












X