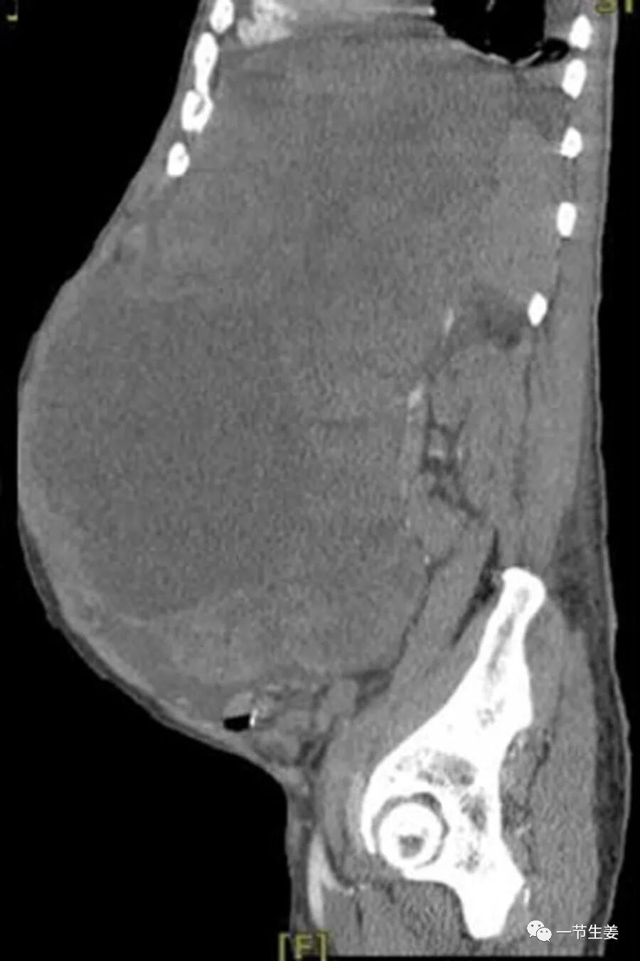
切除这个肿瘤,医生花了7个小时的时间,患者也失去了3升血,切下的肿瘤形状不规则,重量是18.5公斤。女性怀孕的孕期也是9个月,但是婴儿出生时体重一般就是3~4公斤。患者的这个肿瘤,不是胖若两人,而是重如4~5个刚出生的婴儿。
细胞里空间很小,换电池时不能把电池盖拿下来随便乱放,需要特别安放在一个叫做“开关口袋”的结构里。这个“开关口袋”,可以理解为电池盖的卡口。活化环与“开关口袋”结合,就像电池盖插到了卡口里,把电池仓暴露出来,激酶变成“开放状态”,ATP就可以结合了。
有的制度要几十年不变,但是激酶这块表,都永远存在着两个状态,需要在这两个状态里不停地变来变去,在变化中获得平衡,也在变化中不停地换电池,这就是正常的工作状态。当癌细胞发生致癌的原发突变时,激酶结构发生变化,状体平衡向“开放状态”倾斜。
所以,这个电池盖的卡口(“开关口袋”),就比较关键了,因为它决定激酶是否能在两种状态之间来回切换,可以说是一个控制开关。
这个开关口袋,也正是Ripretinib的目标阵地。Ripretinib结合在开关口袋里,走了活化环的路,让活化环无路可走。同时,Ripretinib还可以通过氢键稳定住活化环,让进不了“开关口袋”的活化环死死挡住了电池仓,变成一个死的电池盖,电池无法进入电池仓,激酶只能处于关机状态。
目前KIT的耐药性突变出现在13,14,17,18外显子,这些耐药突变可以引起ATP结合区结合能力出现变化,不与靶向药物结合,却增加与ATP的结合能力。但是,因为Ripretinib本来就不结合这个区域,所以这些突变都不影响Ripretinib的作用。因此,即便癌细胞出现了这些耐药突变,Ripretinib还是会有效。同时,由于开关口袋处不太容易产生突变,Ripretinib的肿瘤抑制效果可能会更长久一些。
-
二线:中位PFS = 42周;(作为参考,舒尼替尼历史数据为24周)
-
三线:中位PFS = 40周;(作为参考,瑞戈非尼历史数据为21周)
-
四线:中位PFS = 24周;(目前没有标准的四线用药)
在Ripretinib的三期临床研究里(“INVICTUS”),总共入组了129名GIST患者,之前都已经接受了三线以上的治疗,随机以2:1的比例入组Ripretinib或安慰剂组,主要研究终点为无进展生存(PFS)的获益[8]。
研究结果表明,使用Ripretinib的患者,中位PFS达到了6.3个月,与此相比,使用安慰剂的人,中位PFS只有1.0个月。
-
6个月时无进展比例:Ripretinib治疗组51%, 安慰剂组3.2%;
-
客观缓解率(ORR):治疗组9.4%, 安慰剂组0%;
-
中位总生存(OS):治疗组15.1个月, 安慰剂组6.6个月;
-
12个月时OS比例:治疗组65.4%, 安慰剂组25.9%;
参考文献
本文仅供医学药学专业人士阅读

















X