地舒单抗起效迅速,缓解骨痛,可与局部放疗或靶向药物的联用,能更好地控制肺癌骨转移。
肺癌以具有转移性作为主要的恶性标志和特征,也被认为是导致治疗失败和患者死亡的主要原因,其中晚期肺癌最常见的转移性癌是骨转移[1]。既往中国患者治疗肿瘤骨转移的基本方法之一是双膦酸盐类药物,但随着地舒单抗临床研究数据的更新,地舒单抗为患者提供了一种安全有效的新治疗选择。
本病例由上海长征医院王霆教授提供,该病例患者为肺癌术后伴全身多发骨转移,经过抗肿瘤治疗和地舒单抗的抗骨转移治疗后,骨痛缓解,感觉运动明显恢复,发生成骨性改变,碱性磷酸酶显著降低。
女性患者,75岁,无吸烟史,无饮酒史,无肿瘤家族史。
2016.03因“左肺结节”行肺楔形切除,术后病理示:肺腺癌,考虑为原位癌,术后未进一步治疗;
2017.04再次因“右肺结节”行肺楔形切除,术后病理示:肺腺癌,考虑为原位癌,术后仍未进一步治疗;
2021.01.02突发出现胸背部疼痛、双下肢感觉运动障碍,无法行走;
2021.01.05查全脊柱MRI示:胸6-7转移瘤伴硬膜囊明显受压;
2021.01.06查PET-CT示:肺癌术后伴多发骨转移瘤;
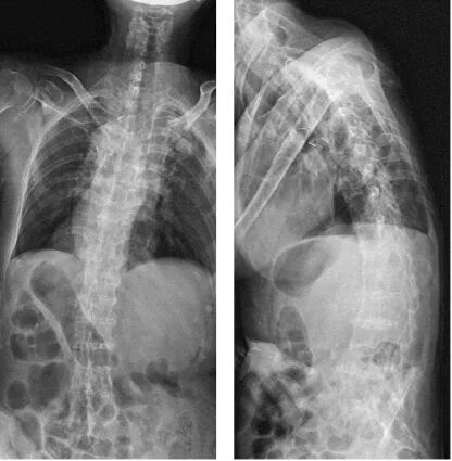
X线:因疼痛导致的脊柱侧弯、因椎体压缩导致的脊柱后突畸形。

图1. X线检查结果
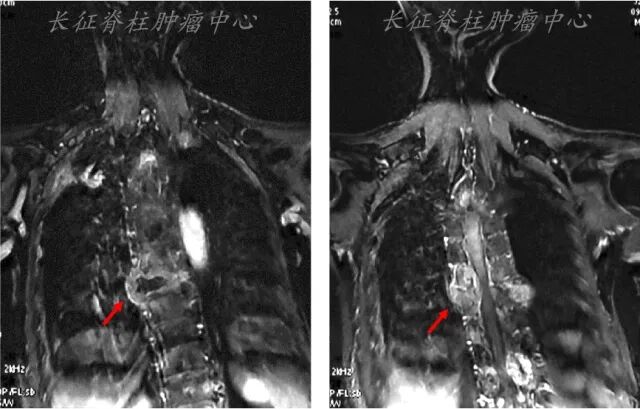
MRI:胸5-9椎体信号异常,T7椎体压缩骨折,T4-8椎管内占位。

图2. MRI检查结果

图3. CT检查结果

图3. PET-CT检查结果
-
-
有肺腺癌病史,曾行手术治疗,未行化疗、靶向、放疗等
-
-
-
考虑到围术期应用地舒单抗可能具有抑制骨破坏、改善疼痛、减少术中出血的作用,2021年1月9日给予患者皮下注射地舒单抗治疗120mg,2021年1月13日患者于全麻下行后路胸椎肿瘤切除重建内固定术(分离手术)。
术后X线:胸7椎体切除,钛网支撑,局部填塞骨水泥;胸4-6级及胸8椎体注入骨水泥。

图4. 术后X线检查结果
患者术后自觉疼痛缓解,双下肢感觉运动明显恢复,术后2周患者下地活动。
后对患者行综合治疗,继续使用地舒单抗治疗(120mg 皮下注射 q4w),于术后1个月行胸椎手术部位放疗(2Gy × 20次),并于术后3周开始吉非替尼治疗。
2021.07.15 CT:手术部位成骨性改变,无明显肿瘤复发。
使用地舒单抗后患者血钙一过性降低,补钙后恢复正常,患者可见碱性磷酸酶显著降低。
本例患者为肺癌术后伴全身多发骨转移,入院时胸背部疼痛,双下肢感觉运动障碍,无法行走。对患者给予一次地舒单抗,行手术治疗,患者自觉疼痛缓解,双下肢感觉运动明显恢复,手术后行地舒单抗治疗,并联合局部放疗、靶向治疗,复查影像学检查提示手术部位成骨性改变,无明显肿瘤复发,碱性磷酸酶显著降低。
以上复查结果提示本例患者综合治疗方案取得成功。该病例提示,当患者出现骨转移病灶时,术前应用地舒单抗可能减少术中出血,使用地舒单抗可显著降低存在骨转移的肺癌患者骨事件发生率,地舒单抗可改善因骨破坏或椎体不稳导致的局部疼痛;地舒单抗较低的副作用使其可以较安全地与手术、放疗、全身药物治疗等联用,地舒单抗与局部放疗或靶向药物的联用,可能更好地控制骨转移进展。
我国肺癌发病率逐年上升,已成为最常见的恶性肿瘤之一,晚期肺癌最常见的转移性癌是骨转移,多见于脊椎骨、肢体骨、骼骨等,临床上可表现出不同程度的局部骨痛、功能障碍等,同时可并发一系列骨相关事件(SREs),如病理性骨折、重度骨痛等,严重降低了患者的生活质量,甚至导致患者死亡[1]。因此,对于肺癌骨转移患者,在积极治疗原发病灶的同时,如何预防和治疗骨转移及SREs显得尤为重要。
地舒单抗是一种破骨细胞骨吸收抑制剂,通过类似于天然护骨因子的方式与核因子κB受体活化因子配体(RANKL)结合,从而阻止RANKL和核因子κB受体激活蛋白(RANK)的相互作用,最终降低破骨细胞的分化、活性和存活,抑制骨吸收[2]。皮下注射后,地舒单抗迅速吸收,给药后1 小时内,即可在血清中检测到,且在单次给药后持续时间长达9个月[2]。
一项系统评价和meta分析[3]探索了肺癌骨转移的最有效药物治疗,结果发现,与未经治疗的患者相比,在总生存期(OS)方面,地舒单抗的优于唑来膦酸,估计OS平均延长3.3个月(95%可信区间0.3-6.3)(P评分=89%),而唑来磷酸仅延长2.1个月。在SRE发生时间方面,与未经治疗的患者(P评分=99%)相比,地舒单抗的平均无SRE月数为9.1个月(95%CI 6.7-11.5),而唑来膦酸的平均无SRE月数为4.8个月(95%CI 3.6-6.1)。所以,在OS和SRE发生时间方面,地舒单抗优于唑来膦酸,地舒单抗可一定程度延长肺癌骨转移患者生存时间。
多项指南指出影像发现骨转移后应立即开始应用骨调节药物,不论是否存在相关临床症状,地舒单抗可用于治疗晚期肿瘤骨转移患者[4-5]。 期待地舒单抗能在临床实践中发挥更大作用,继续推进相关临床研究,使更多肿瘤骨转移患者从中获益。
[1]赵光宗,张龙强,方军,李华壮,梁志勇,王善涛.唑来膦酸对肺癌脊柱转移瘤患者骨丢失标志物血清水平影响的研究.中国实用医药,2020,15(28):57-59.
[2]中国抗癌协会泌尿男生殖系肿瘤专业委员会,叶定伟,史本康,邢金春,朱刚,齐隽,李长岭,李宁忱,何志嵩,周芳坚,姚欣,郭军,谢晓冬,魏强,魏少忠.地舒单抗在前列腺癌骨转移患者中的临床应用规范.肿瘤综合治疗电子杂志,2021,7(3):17-21.
[3]Bozzo A, Deng J, Abbas U, et al. Which Bone-Modifying Agent is Associated with Better Outcomes in Patients with Skeletal Metastases from Lung Cancer? A Systematic Review and Network Meta-analysis. Clin Orthop Relat Res. 2021;479(9):2047-2057. doi:10.1097/CORR.0000000000001749
[4]Coleman R, Body JJ, Aapro M, Hadji P, Herrstedt J; ESMO Guidelines Working Group. Bone health in cancer patients: ESMO Clinical Practice Guidelines. Ann Oncol. 2014;25 Suppl 3:iii124-iii137. doi:10.1093/annonc/mdu103
[5]Van Poznak CH, Von Roenn JH, Temin S. American society of clinical oncology clinical practice guideline update: recommendations on the role of bone-modifying agents in metastatic breast cancer. J Oncol Pract. 2011;7(2):117-121. doi:10.1200/JOP.2011.00021