多纳非尼作为首个在总生存方面优于索拉非尼的靶向药物,已于2021年6月9日获得中国国家药品监督管理局批准,用于治疗既往未接受过全身系统性治疗的不可切除肝细胞癌患者。在ZGDH3研究中,多纳非尼组24周的疾病控制率DCR要明显优于索拉非尼组,分别为20.7%和15.7%,这也为患者长生存创造了先决条件。来自吉林大学第一医院的温晓玉教授为我们提供了在该临床中心接受治疗的一例肝癌患者,在接受多纳非尼一线治疗后保持了长时间的疾病稳定,截至末次随访,整体生存时间近40个月。
患者整体情况
患者男性,62岁,既往有慢性乙肝病史、糖尿病史、白内障史,有白内障手术史。
2016年4月13日,经病理诊断为肝细胞癌。入组时BCLC分期为C期,无门静脉侵犯和/或肝外转移;ECOG评分为1;基线Child-Pugh评分为5;基线AFP水平为4.97μg/L。
抗肿瘤治疗经过
2016年4月13日,接受原发肝癌切除术,术程顺利。术后复查确认复发。2016年12月30日,首次服用多纳非尼(0.2g,每日两次)治疗,8周后经疗效评估为疾病稳定(SD)。随后继续使用,靶病灶持续稳定。经独立评审委员会(IRC)评估的无进展生存期(PFS)为7.5个月,而由研究者评估的PFS为11.2个月。
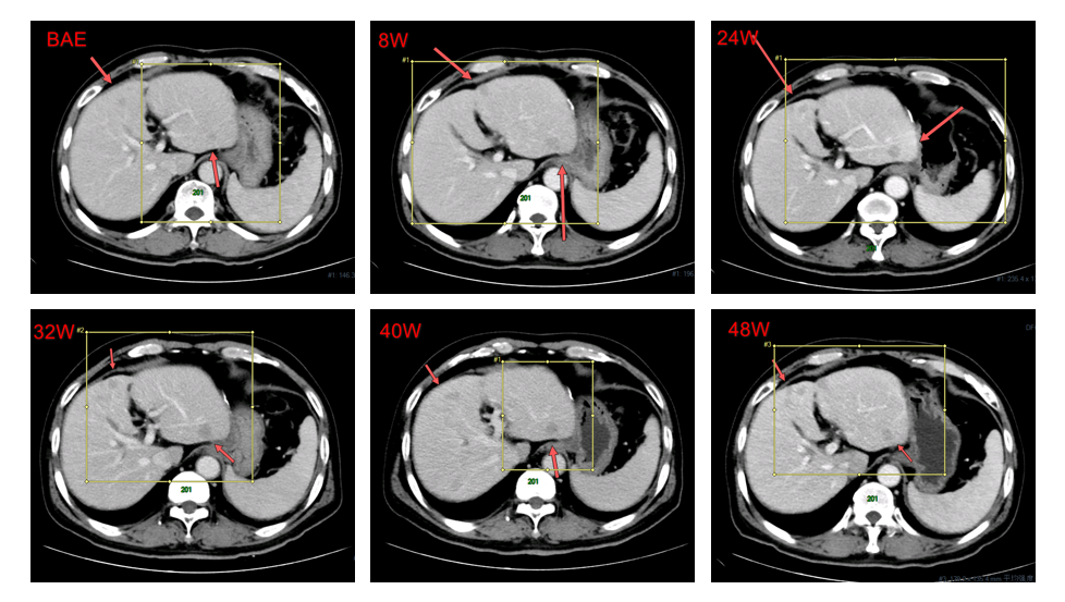
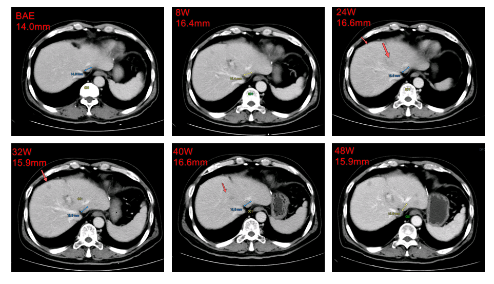
肝左叶靶病灶影像学改变:8-48W被评为SD
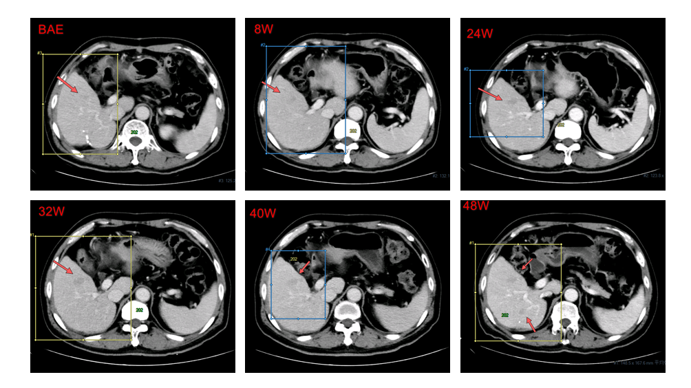
肝左叶非靶病灶影像学改变:8-24周为SD;32-48周为PD
肝右叶非靶病灶影像学改变:8-48w为SD
2017年12月12日~2018年01月16日患者接受后线其他分子靶向治疗。截至2020年3月31日末次随访时,患者仍然存活,从随机入多纳非尼组开始计,OS达到39.1个月。
在安全性方面,患者出现3级高血压,坚持服用降压药物,监测血压。除此之外,其他不良反应均为1~2级,经过相应的对症处理后已恢复。值得注意的是,本例患者出现的不良反应均未导致多纳非尼的剂量调整。
病例讨论
此次,针对这一超3年长生存的病例,我们邀请到了吉林大学第一医院的温晓玉教授我们进行了深度的解读。
在ZGDH3研究中,多纳非尼在总生存方面显示出了优于索拉非尼的疗效(12.1 vs 10.3个月,p = 0.0363)。本例患者接受多纳非尼治疗后,达到了近40个月的长期生存。值得注意的是,ZGDH3研究的入组患者中61.3%为ECOG评分1分,87.2%为BCLC分期C期,基线特征较差。本例患者也属于BCLC C期患者,但如此长时间的总生存期仍然振奋人心,
分析可能与以下因素相关:
1、可能与本例患者无门静脉侵犯和/或肝外转移有关,肝细胞癌(HCC)合并门静脉肿瘤血栓(PVTT)的病程进展迅速,肝功能储备恶化,复发率高,是肝癌预后的不良因素。此外,ZGDH3研究的亚组分析显示,在无门静脉侵犯/肝外转移患者中,多纳非尼创造出了21.7个月的最长mOS,这也合理解释了本例患者近40个月的长生存。
2、虽然对于患者来说,肿瘤的缩小是所重视的一方面,但是治疗的终极目标还是长生存。本例患者根据研究者评估的最佳疗效是疾病稳定(SD),且保持这一状态近1年。这种长期的疾病稳定为患者带来持久的病情控制,减少换药,并最终转化为了OS的直接优势。
3、多纳非尼安全性良好,不良反应可控,患者对治疗耐受,≥3级不良反应仅出现了高血压,并在坚持服用降压药物,监测血压的情况下已经恢复。除此之外,均为1~2级不良反应,且不良反应的发生未导致暂停用药及剂量调整,这些也助力了患者的长生存。
							
						
本文仅供医学药学专业人士阅读

 
 
				 
							.jpg-pd13)
.jpg-pd13)













 
		 
            
           
	   
	    
 
   X
		X