腺样囊性癌(英文缩写ACC)是一种可发生于全身多个部位的罕见癌症,发病部位可包括:腮腺、颌下腺、舌下腺、小唾液腺、泪腺、耳道耵聍腺、乳腺等等,最常见于头颈部位的唾液腺。

图片来自cancer.gov
ACC特点通常较明显:增长相对缓慢,疾病管理难度很大、容易侵犯神经周,有远端转移的可能性(通常是肺)及远期极有可能复发(通常为治疗后2-5年)。
目前ACC发病原因不明,研究者证明该疾病非遗传性,且常见的危险因素如:喝酒、抽烟并不会直接导致其发生。
常规治疗手段
从目前临床来看,手术仍是ACC的一线治疗手段,随后根据切缘情况辅助或不辅助普通X光术后放疗。因为ACC神经周浸润的倾向,它的切缘经常会比肉眼可见肿瘤切缘扩展得更广,因此阳性手术边界率较高。

T4的患者,术后放疗对于患者的总生存期都改善明显
注:
T1:肿瘤最宽处为2cm以内,非侵袭性
T2:肿瘤为2-4cm,非侵袭性
T3:肿瘤为4-6cm,已超出唾液腺但未影响第7神经
T4a:肿瘤侵袭皮肤、下颚骨、耳道和或面部神经
T4b:肿瘤侵袭颅底和/或周边骨组织和/或包绕血管
手术切除后,术后普通放疗(光子)放疗的5年局部控制率为95%,15年控制率为79%,但切缘和分期也是影响预后的重要因素。对于切缘阳性或T分期靠后的患者,术后放疗能够明显提高预后。
普放与质子/重离子放疗的区别:
以上我们讲到的放疗都为普通光子放疗(简称:普放)。虽然放疗普遍使用,但与鳞癌相比,ACC一般被认为放射不敏感,从物理特性上讲,ACC对高-线性能量转移(如质子、中子)放射反应应该更加良好。
随着临床发展,除光子之外的一些粒子,如质子、碳离子、中子也被越来越多的运用到临床实践中。本文主要讨论质子和重离子。
质子治疗在复杂头颈部肿瘤上的应用已超过20余年,因其在布拉格峰后能够立即降低剂量,做到在肿瘤部位释放出高剂量,而降低周围组织剂量。通俗来说就说也就是,打击肿瘤部位的剂量达到最大,而对周围组织的伤害降到最低,因此成为一个位于关键部位肿瘤的理想选择。
尤其是在鼻和鼻旁窦通常接近眼窝、视神经和颅底,有报道普放造成了约25%患者产生神经病变等副作用。

质子布拉格峰现象图示
质子治疗在不同分期的ACC的治疗数据
-
2011-2014年,美国Emma Holliday等研究,术后放疗
16位有着不同切缘情况的ACC患者进行术后多野优化质子调强治疗(MFO-IMPT)或MFO-IMPT联合化疗,其中R0(阴性切缘)的患者剂量为60/30次;R1(显微镜阳性切缘)剂量为66Gy,R2(巨大残余病灶)剂量为70Gy。
中位随访时间为24.9个月,随访频率为结束治疗时1月一次,随后3-6个月一次,随访检查患者的复发情况以及急性或远期毒性(放疗开始后90天后出现或持续)。
复发:控制率优秀,15位患者2年局部控制率为94%,1位患者在放疗后第9个月出现复发。
副作用:没有预料外的3-4级慢性毒性发生,4位患者出现3级毒性(皮炎和口腔黏膜炎),1为患者发展为4级慢性视神经紊乱。
讨论:通常在切缘阳性的情况下,医生会担心能否将足量的放射线(光子)输入到大型或显微镜下的阳性切缘,且不超越正常组织的耐受程度。即使是IMRT(适形调强)技术,也会有多余射线给患者带来临床毒性。而质子治疗在这方面表现优秀。
-
2002年-2012年,日本Masaru Takagi等研究,初治
80位单用质子(n=40)或碳离子(n=40)治疗的初治ACC患者,中位年龄59.5岁(24-82岁),最常见发病部位为鼻腔/鼻旁窦,多数患者为局部晚期(T3-T4),质子中位随访时间为53个月,碳离子为26个月,所有患者中位剂量为65GyE/26次。
|
所有患者 (n=80) |
T1-T3 (n=31) |
T4 (n=49) |
不可手术 (n=56) |
|
|
三年总生存率(OS) |
82% |
|||
|
五年总生存率(OS) |
63% |
86% |
48% |
51% |
|
三年无进展生存率 (PFS) |
54% |
|||
|
五年无进展生存率 (PFS) |
39% |
54% |
30% |
34% |
|
三年局部控制率 (LC) |
84% |
|||
|
五年局部控制率 (LC) |
75% |
85% |
68% |
66% |
复发:17名患者(21%)出现局部复发,中位复发时间为第23个月,所有复发患者皆为T3-T4期。
副作用:42位(53%)的患者出现1级急性皮炎,20位(38%)出现2级皮炎;19位患者出现1级黏膜炎,26位患者出现2级,21位患者出现3级,但所有患者都。远期毒性中,77位患者出现1级远期毒性,72位出现2级,36位患者出现3级(黏膜炎、脑坏死、眼睛或视力、听力、牙周、破伤风)及以上远期毒性。
研究者发现,接受72GyE以上的患者出现3级及以上远期并发症,具有数据统计意义。质子和碳离子之间组3级及以上远期并发症对比不具有数据统计意义。
案例分享
-
患者:72岁女性
-
病史:5年前左眼流泪,之后找了位附近的眼科医生做鼻泪管冲洗。 五年后症状或疼痛没有缓解,患者继续进行保守冲洗。因为症状(如脓血泪)的现象恶化,她希望接受泪囊鼻腔造瘘术,随后转到眼科,在下鼻道发现肿块
-
影像:PET/CT显示在左鼻泪管处有轻微堆积物,没有提示全身远端转移
-
确诊: 下鼻道肿瘤病理显示为不典型上皮细胞筛状聚集,之后确诊为ACC

图片来自”李哲教你学解剖”
虽然医生建议做切除肿瘤的鼻侧切开术,但患者拒绝了鼻整形外入路,并希望接受其它治疗。在被告知了同步放化疗、质子放疗以及射波刀放疗的风险和受益后,患者选择接受质子放疗。
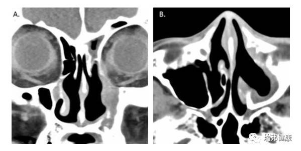
2013年12月,患者接受了74.8GyE的质子治疗。据文章发表时的2015年底,患者最近一次随访发现,鼻腔组织出现了部分萎缩和黏连,有可能是质子治疗相关,但根据影响和临床结果,患者依然为完全缓解。

患者质子治疗2年后鼻旁窦CTA图为冠状缝切面,B为轴向剖面
质子治疗周期和价格
|
质子中心名称 |
治疗患者数量 |
治疗费用 |
|
上海质子重离子医院 |
64位ACC患者 |
27.8万人民币 5-7周 |
|
日本Medipolis质子中心 |
112位头颈部肿瘤 |
约27万人民币 5-6周 |
|
日本兵库县立粒子线医疗中心 |
976名头颈部肿瘤 ACC局部控制率84% ACC三年总生存率82% |
约21万人民币 3-6周
|
ACC 2017ASCO研究方向:免疫治疗、广谱治疗
今年ASCO上,两个关于ACC的主题研究如下:
-
免疫+放疗将”冷肿瘤变热”
免疫治疗很热,但目前批准的瘤种还相当有限。包括ACC的许多肿瘤都被认为是“冷”肿瘤,简单解释为:肿瘤附近没有足够多的免疫细胞去攻击肿瘤。很多研究者都想通过将免疫治疗结合放疗、化疗靶向治疗甚至另一种免疫治疗,进而将冷肿瘤转化为热肿瘤。

周围的免疫细胞(绿色和红色)准备去攻击一个(蓝色中心的)肿瘤细胞
目前不少新的免疫临床试验都将进展中的ACC患者纳入其中,多数都为联合治疗,目的是将冷肿瘤转化为热肿瘤。

Keytruda单用或联合放疗用于复发或转移腺样囊性癌
-
专注靶点,是否有广谱抗癌药
我们曾将广谱抗癌药不恰当地比作“万金油”,即药物作用于肿瘤的某些靶点,而非固定发病部位(即瘤种)。5月24日,免疫治疗Keytruda获批用于治疗微卫星不稳定性高(MSI-H)或错配修复缺陷(dMMR)的不可切除或发生转移的所有实体瘤患者。
接下来的6月份,研究发现新药LOXO-101在用于表达有TRK的肿瘤患者中76%获得缓解。
目前研究发现,几乎所有的ACC患者都有MYB或MYBL1基因突变,无论发生在唾腺、泪腺或乳腺。如果能研发出相关MYB和MYBL1的有效抑制剂,应该能帮助大多数腺样囊性癌患者。
来源:瑞孚健康
本文仅供医学药学专业人士阅读


















X