肝癌是我国最常见的恶性肿瘤之一,也是世界范围内癌症死亡的主要原因之一。近年来,随着免疫治疗技术的发展,免疫治疗可以与抗血管生成治疗相结合。现有的肝癌一线治疗获批方案就包括国产的达伯舒+达攸同的“双达”方案。今天给大家分享一例肝细胞癌患者,肿瘤血栓在下腔静脉-右心房交界处和多个肺转移后,经过信迪利单抗联合索拉非尼多个疗程的治疗后部分缓解。
术后多发转移,
信迪利单抗联合索拉非尼一线治疗获PR
患者男性,62岁,慢性乙型肝炎超过40年,2018年7月被诊断为右半肝和乙肝后肝硬化肝细胞癌。遂接受手术治疗,术中发现右肝叶弥漫性肿块,侵犯膈肌,伴右侧门静脉肿瘤血栓形成,按门静脉肿瘤血栓形成分级为VP3。右侧半肝切除术后,术后病理显示低分化肝癌伴小灶性肉瘤样病变,周围肝组织结节性硬化(G3S4)。该患者入组了一项II期临床试验(NCT03261791),在观察到疾病进展时,使用阿帕替尼作为辅助治疗约9个月。
2019年4月,左肝叶一个直径1厘米的结节复发,通过腹腔镜手术完全切除。2019年6月,患者肝脏左内侧叶复发一个小恶性结节,并通过经动脉化疗栓塞治疗。
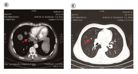
约6个月后,PET-CT扫描显示下腔静脉-右心房(IVC-RA)连接处有肿瘤血栓(40×36mm);双肺多发转移结节(最大直径12毫米),肺、纵隔淋巴结多发转移。
在无明显症状报告的情况下,患者ECOG评分为1分,肝功能Child-Pugh A级。于2020年1月开始接受信迪利单抗(每3周静脉滴注200 mg)联合索拉非尼(400 mg口服,每日2次)治疗。
在第三个疗程期间进行肝功能检测:ALT = 268.1 U/l,ALB= 263.3 U/l,总胆红素= 19.5μmol/l。患者轻度腹泻,无发热、消化不良、腹痛、腹胀。体格检查无异常。当时,异常的肝功能归因于索拉非尼。患者给予甘草酸二铵肠溶胶囊治疗,以改善肝功能。
第三个疗程后约20天,腹部和胸部CT增强扫描显示IVC-RA连接处肿瘤血栓最大尺寸为26.9 mm,右肺上叶结节最大直径缩小至7mm。根据RECIST 1.1版疗效评价标准,肿瘤被确定为部分缓解(PR)。
但在第4个疗程后第3天,患者出现腹胀、腹泻、食欲减退、呕吐。观察机体皮肤及巩膜黄疸。在接下来的几天,症状迅速恶化,腹部变得紧张,无压痛,并有大量腹水膨胀。紧急肝功能检查显示:ALT = 872.5 U/l,天冬氨酸转氨酶= 872.5 U/l,总胆红素= 179.65μmol/l,危及生命。通过DNA检测(HBV DNA < 10iu /ml)排除HBV相关肝炎。根据免疫治疗时间与重型肝炎的相关性,被认为是IV级免疫相关性肝炎。
给予注射用还原型谷胱甘肽(每日静脉注射2.4 g)、琥珀酸腺苷甲硫氨酸注射液(每日静脉注射1 g)、异甘草酸镁注射液(每日静脉注射150 mg)促进肝功能恢复。值得注意的是,肝功能指数在随后几天有所改善。黄疸和腹胀继续减少。服用大量甲基强的松龙8天后,患者开始服用强的松当量(120mg /天口服),并每5-7天减少强的松20mg,持续4- 6周。出院1个多月后,肝功能逐渐恢复正常。
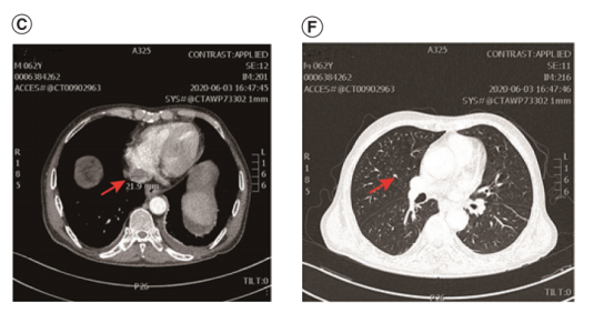
在中断信迪利单抗和索拉非尼约一个月后,2020年6月3日的随访CT增强扫描显示,IVC-RA连接处肿瘤血栓(最大尺寸21.9 mm)和右上叶结节(最大直径6mm)继续缩小。
案例讨论
肝癌是全世界癌症死亡的主要原因之一。原发性肝癌包括肝癌(75-85%)、肝内胆管癌(10-15%)和其他罕见类型。HCC侵袭下腔静脉和RA的病例小于2%,虽然标准化治疗尚未确立,但积极治疗可以延长生存率。
据研究人员所知,这是首次报道信迪利单抗与索拉非尼联合治疗伴有下腔静脉- RA连接处肿瘤血栓的晚期HCC。本例患者经3个周期的联合治疗后,CT扫描显示下腔静脉- RA连接处肿瘤血栓及肺结节均缩小,提示信迪利单抗与索拉非尼在晚期转移性HCC中具有协同作用。复查胸部和腹部CT显示肿瘤血栓明显变小,即使免疫治疗和抗血管生成治疗已完全停止1个月。这主要是由于单克隆抗体信迪利单抗的血清半衰期较长(13.7天)。此外,使用单克隆抗体可激活大量的细胞毒性T细胞,其中一些可能转变为记忆T细胞,并持续增殖,从而扩展其抗肿瘤作用。
据我们所知,这是首个信迪利单抗联合索拉非尼作为术后复发方案的报道,它可能会指导合并下门静脉RA连接处肿瘤血栓晚期HCC的治疗。此外,它还提示临床医生在结合免疫治疗和抗血管生成治疗时发生免疫相关不良反应的风险。应定期监测患者血液生化指标,及早发现异常并给予适当治疗。然而,还需要进行大规模前瞻性试验,以进一步确定ICIs和TKIs联合使用的安全性和有效性。
本文仅供医学药学专业人士阅读














X