基于IMbrave150研究结果,阿替利珠单抗+贝伐珠单抗(T+A)成为晚期肝癌(HCC)一线治疗的新方案,不可切除晚期肝癌的治疗前景也随之发生了改变,其中一个紧迫的挑战是在“T+A”一线治疗进展后,如何选择最佳治疗顺序。根据最新的NCCN指南,当一线“T+A”耐药后,现有一线治疗药物索拉非尼和仑伐替尼可用于二线治疗。但暂时没有相应的临床研究来验证这一序贯方案的安全性和有效性。今天,我们就带大家看一例晚期肝癌患者,在接受“T+A”方案后疾病进展,随后接受仑伐替尼治疗达到病理完全缓解并接受根治性手术。
患者整体情况及治疗经过
患者为56岁女性,由丙型肝炎病毒引起的肝硬化。血检肝功能保持,Child-Pugh A级,改良白蛋白胆红素(mALBI) 1级,但α-甲胎蛋白(AFP)水平显著升高至10530ng/mL(正常范围:0-10 ng/mL)。
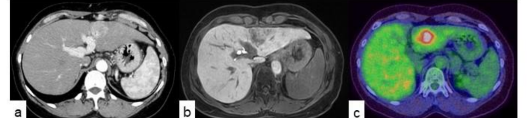
动态计算机断层扫描(CT)显示肝侧段有一个直径40毫米的肝脏肿块,在动脉期有强烈均匀的强化;增强磁共振成像显示肝胆期高强度;PET-CT扫描显示肿瘤摄取了明显的氟脱氧葡萄糖。未见肝内、肝外转移,但未见门静脉外支,提示门静脉肿瘤血栓形成。
患者被诊断不可切除肝细胞癌(HCC),考虑到肝细胞癌合并门静脉侵犯如未经治疗而切除,术后复发率高,接受阿替利珠单抗和贝伐珠单抗联合治疗,初始剂量分别为1200 mg/kg和15 mg/kg。然而,第二次疗程后的CT显示肿瘤大小增加(直径80mm),AFP水平也迅速升高。
因此,患者接受仑伐替尼作为二线治疗,剂量为8mg/天。观察到仑伐替尼引起的手足综合征、血小板减少等不良反应。特别是,血小板计数<50000 /μL的血小板减少症需要暂时中断仑伐替尼治疗,并在重新启动时将剂量减少到4mg/天或4mg和8mg交替进行。
采用该治疗后,甲胎蛋白水平立即下降,治疗后4周CT显示肿瘤明显缩小,肿瘤血管减少,存活能力下降;肿瘤大小减少了50%,根据RECIST标准评估达到部分缓解(PR)。
阿替利珠单抗+贝伐珠单抗和仑伐替尼均未损害肝功能,提示Child-Pugh A级和mALBI 1级。考虑到肿瘤控制良好,肝功能良好,因此在开始仑伐替尼后13周行转肝切除术。肉眼可见黄白色肿瘤,直径45mm。镜下肿瘤完全坏死,无活细胞,无血管浸润。术后3个月无复发。
病例讨论
据研究人员所知,这是第一个不可切除的HCC在阿替利珠单抗联合贝伐珠单抗治疗失败后,用仑伐替尼治疗达到病理完全缓解的病例。根据微环境的免疫状态,HCC可分为三类。在三个类别中,免疫排斥类约占病例的30%,其特征是CTNNB1突变诱导β-catenin的激活,并倾向于对免疫检查点抑制剂的治疗产生耐药性。在本病例中,可能为CTNNB1突变驱动的免疫排斥性HCC,而这可能解释了阿替利珠单抗联合贝伐珠单抗效果不佳的原因。
WNT/β-catenin突变可激活β-catenin,在大约20~30%的肝癌患者中发现。而β-catenin激活是肝癌免疫治疗的潜在耐药机制。然而,FGFR4在WNT/β-catenin激活突变的肿瘤群体中表达较高,且β-catenin突变与FGFR4表达呈正相关。
此前有一项研究对40例HCC患者进行了评估,结果显示仑伐替尼在FGFR4高表达的肿瘤中取得了高应答率(81%),明显高于FGFR4不表达的肿瘤的应答率(31%)。此外,与FGFR4不表达患者相比,仑伐替尼治疗可使FGFR4高表达患者的PFS更长(分别为5.5个月和2.7个月),这表明仑伐替尼对FGFR4高表达的肿瘤(即WNT/ β-catenin激活突变的肿瘤)具有更高的抗肿瘤活性。因此,即使在那些由于β-catenin激活突变而对以前使用阿替利珠单抗联合贝伐单抗的治疗反应不佳的患者中,随后使用仑伐替尼治疗仍然会获得更好的结果,因为仑伐替尼对FGFR4也有很强的抑制作用。
由于阿替利珠单抗和贝伐珠单抗均为抗体药物,且联合使用不太可能影响肝功能,预计70-80%接受使用阿替利珠单抗+贝伐珠单抗一线治疗的患者可接受二线治疗。目前,针对联合治疗耐药后的方案暂无标准治疗可作依据,还需要进行更多的临床研究来探索。
本文仅供医学药学专业人士阅读



.jpg-pd13)

.jpg-pd13)











X