免疫检查点抑制剂(ICIs)已越来越多地用于多种类型的癌症治疗,并已证实对肝细胞癌(HCC)有效。IMbrave150试验表明,与索拉非尼相比,阿替利珠单抗联合贝伐珠单抗(T+A)在晚期转移性或不可切除的HCC中取得了显著的无进展生存和总生存。根据这项临床研究的结果,晚期HCC的一线全身治疗已转向“T+A”方案。
与传统的抗癌药物不同,ICIs也可以引起非典型的反应模式。ICI治疗后,可观察到假性进展,即靶病灶在首次抗肿瘤治疗后影像学评估时呈明显呈增长趋势(或伴随新发病 灶出现),但在随后的评估对照中靶病灶保持稳定、缩小或消失的现象。今天我们就带大家看一例阿替利珠单抗联合贝伐单抗治疗HCC后出现假性进展的病例。
患者整体情况和抗肿瘤治疗经过
患者男性,74岁,因腹部超音波发现肝脏S8肿瘤而入院,既往有酒精性肝病、2型糖尿病和高血压,Child-Pugh分级为A级。
实验室评估显示肿瘤标志物升高:α-甲胎蛋白(AFP)为22,882 ng/mL;维生素K缺乏或拮抗剂-Ⅱ诱导的蛋白质(PIVKA-Ⅱ)为4793.3 mAU/mL。
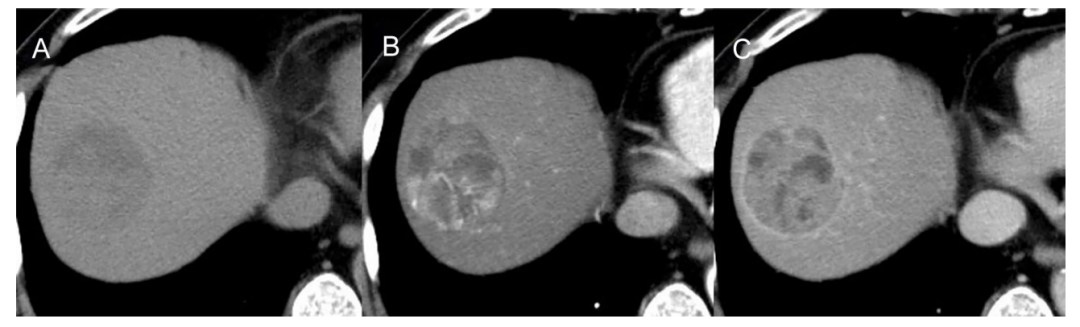
腹部动态CT显示一个直径54mm的圆形低密度S8肿瘤,在动脉期增强,在门静脉期和延迟期清除。基于患者的酒精性肝病史而被诊断为HCC。
患者不接受手术,遂给予经导管动脉化疗栓塞(TACE)治疗。第一次TACE后证实右髂转移,采用放射治疗治疗左髂转移,并对原发性肝脏肿瘤行另一次TACE。
因此,在首次治疗后5个月开始接受阿替利珠单抗+贝伐珠单抗联合治疗。在给予联合治疗两个疗程后,CT扫描显示肺部肿瘤、左髂肿瘤和盆腔淋巴结肿瘤生长。肺部也有新的病变,提示疾病进展(PD)。肿瘤标志物水平也有所升高。
虽然考虑改变治疗方案,但在医生酌情思考后,决定继续进行联合治疗。在给予阿替利珠单抗加贝伐珠单抗三个疗程后,CT扫描显示肺和髂肿瘤均减少。在第四个疗程结束后,CT扫描显示肺部肿瘤消失。在给予联合治疗5个疗程后,CT扫描显示肺肿瘤无复发,髂和盆腔淋巴结转移进一步减少,疗效评估达到部分缓解(PR)。随着肿瘤的减小,肿瘤标志物水平也降低。
该患者正在持续接受阿替利珠单抗+贝伐珠单抗联合治疗,没有出现任何重大不良事件。
病例讨论
近十年来,索拉非尼一直被认为是肝细胞癌一线标准治疗方案。基于IMbrave150研究数据,阿替利珠单抗+贝伐珠单抗目前是肝癌的一线标准全身治疗,预计其应用在未来会增加。免疫检查点抑制剂是通过宿主的免疫功能发挥抗肿瘤作用的抗癌药物,在疗效和副作用方面具有独特的优势。当肿瘤出现一定的生长时,常规的抗癌药物被判定无效,但ICIs可能会出现一种叫做假进展的现象。之前的一项系统综述和荟萃分析报告称,在接受ICI治疗的癌症患者的临床试验报告中,假性进展的总发生率为6.0%。这种现象已在各种癌症中得到证实,恶性黑色素瘤发病率为10-15%,肺癌发病率为5 – 7%,头颈部癌症发病率为2-3%。
在本例患者中,使用阿替利珠单抗治疗HCC显示了短暂的肿瘤生长,这被认为是假性进展。假性进展的临床特征已被报道,包括CT所示肿瘤生长,但总体状况和性能状态没有下降,肿瘤标记物等测试值没有恶化,在组织活检中观察到免疫细胞持续浸润。然而,对于这一临床特征还没有达成共识。在本病例中,假性进展发生在相对较早的时候(治疗开始后6周),当假性进展被证实时,肿瘤标记物增加。因此需要进一步积累的病例来确定使用阿替利珠单抗联合贝伐单抗治疗HCC后假性进展的特征。
在临床实践中,仅在一次诊断成像后,很难区分真进展和假进展,如果做出了错误的判断,可能会停止对ICI的有效治疗,因此,患者的预后可能会恶化。免疫相关反应标准( IrRC)、实体瘤免疫相关反应评价标准(irRECIST)、免疫相关RECIST (iRECIST)都已被提出用于ICIs治疗效果的判断标准。为避免错失可能从ICI中获益较大的患者的治疗机会,有必要利用新的评价标准仔细评估治疗效果。
综上所述,我们给大家介绍了一个用阿替利珠单抗加贝伐单抗治疗的HCC假性进展的病例。预计在未来,ICIs在HCC领域的应用将继续增加,因此有必要提高对假性进展的认识和诊断。
参考来源:
A Case of Pseudoprogression in Hepatocellular Carcinoma Treated With Atezolizumab Plus Bevacizumab
本文仅供医学药学专业人士阅读

.jpg-pd13)














X