乳腺癌是最常见的癌症,也是全球癌症相关死亡的主要原因。人表皮生长因子受体 2 (HER2) 阳性乳腺癌约占所有病例的15-20%,是一种更具侵袭性的表型,预后更差。在HER2阳性乳腺癌患者中,大约有一半也是雌激素受体(ER)阳性和孕激素受体(PR)阳性的患者;无论激素受体 (HR) 状态如何,所有 HER2 阳性乳腺癌患者都可以从抗 HER2 治疗中受益,尽管如此,HER2阳性/HR阳性转移性乳腺癌患者的标准治疗方法究竟是什么?科学家们仍在研究。
吡咯替尼是一种不可逆的表皮生长因子受体 (EGFR)/HER2双重抑制剂,用于治疗 HER2 阳性乳腺癌。吡罗替尼联合卡培他滨已在中国获批用于治疗 HER2 阳性晚期或转移性乳腺癌。与单独使用内分泌疗法(来曲唑)相比,吡咯替尼已被证明与曲妥珠单抗联合使用时具有更好的临床疗效。尽管之前已经报道了类似的治疗方案,但尚未证明吡咯替尼+来曲唑治疗 HER2 阳性/HR 阳性患者的疗效和安全性。
在这里,我们报告了一例 HER2 阳性/HR 阳性乳腺癌患者,该患者在改良根治术术后 2 年发生转移,并开始使用吡咯替尼+来曲唑进行联合治疗,最终患者获得了部分缓解,并维持了很长一段时间。让我们一起来看看吧~
案例分享
一名 57 岁绝经后妇女于 2017 年 8 月被诊断为右侧乳腺癌,并接受改良根治术。病理检查显示浸润性导管乳腺癌(II 级),免疫组化(IHC)结果为 ER 3+(90%), PR 2+ (60%)、HER2 3+ 和 Ki-67 3+ (70%)。
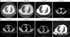
2019年7月,患者发现右胸壁肿块,弥漫性水肿,皮肤发红。随着肿块逐渐进展,患者于2019年11月11日入院湖南省肿瘤医院进行检查和治疗,ECOG评分显示体力状态(PS)为0。B超检查显示内外科有异质性肿块右胸壁疤痕;右侧锁骨上区低回声结节,被认为是淋巴结肿大;左乳房小叶增大;腋窝及左侧锁骨上区均未见明显肿大淋巴结。计算机断层扫描 (CT) 显示右侧胸骨上有一个 3.3 cm × 3 cm 的肿块,伴有骨质破坏,双肺转移,最大直径达 1 cm,纵隔淋巴结肿大(图1)。2019年11月15日,当地医院病理切片IHC显示c-erbB-2 2+、ER 80%、PR 80%、Ki-67 40%(图2)。2019 年 11 月 22 日,对胸壁肿块进行了空芯针活检,发现低分化乳腺癌衍生癌。这得到了患者病史和 IHC 结果的支持(c-erbB-2 2+,ER 80%,PR 80%,Ki-67 40%;图 3)。荧光原位杂交 (FISH) 未发现 HER2 扩增(图 4)。综合以上资料,患者经改良根治术确诊为复发性右乳癌,右胸骨量大,骨质破坏,胸壁及双肺转移。
图1病变的计算机断层扫描(CT)图像(箭头所示):(A)胸骨转移;(二)肺转移。
大家可以关注公众号”三阴姐妹互助圈“下载三阴乳腺癌的治疗资料包和添加病友群,请扫下面的二维码。

图 2免疫组化 (IHC) 显示 c-erbB-2 为 2+,雌激素受体 (ER) 为 80%,孕激素受体 (PR) 为 80%,Ki-67 为 40%。肿瘤细胞核颜色为蓝紫色,肿瘤细胞胞浆颜色为红色(10×10)。
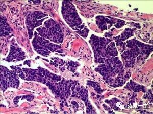
图 3胸壁肿块的免疫组化 (IHC) 显示 c-erbB-2 为 2+,雌激素受体 (ER) 为 80%,孕激素受体 (PR) 为 80%,Ki-67 为 40%。肿瘤细胞核颜色为蓝紫色,肿瘤细胞胞浆颜色为红色(10×10)。
图 4荧光原位杂交 (FISH) 未鉴定出人表皮生长因子受体 2 (HER2) 扩增 (10×100)。
临床医生建议患者接受曲妥珠单抗+化疗,但患者因经济原因拒绝了这种治疗。随后她在该院参加了一项题为“Pyrotinib in Combination with Letrozole in HER2-Positive, ER-Positive Metastatic Breast Cancer”(NCT04407988)的临床试验,并申请免费治疗。
患者随后从 2019 年 12 月 3 日开始单独服用吡罗替尼(每天 400 毫克,每 4 周一次)和来曲唑(每天 2.5 毫克,每 4 周一次)。2020 年 1 月 29 日,右肺转移灶明显缩小经 CT 确认并被评估为部分缓解(图 5)。由于 COVID-19 大流行,该方案于 2020 年 2 月 2 日至 2020 年 2 月 11 日停止。
图 5诊断和治疗的时间表。CT,计算机断层扫描。
最常见的不良事件是轻度腹泻,可通过对症治疗加以控制。
总 结
在本案例中,患者被诊断为HER2阳性/HR阳性乳腺癌,在乳房改良根治术后未接受任何辅助治疗,导致2年后发生胸骨和肺转移。基于患者的选择和医生的考虑,她最终入组临床试验,并对吡咯替尼+来曲唑的联合治疗取得了显著而持久的临床反应。关于HER-2抑制剂联合内分泌治疗能否作为HR阳性/HER2阳性乳腺癌患者的维持治疗,还需要更大样本的临床试验。
参考资料:
https://apm.amegroups.com/article/view/79671/html
本文仅供医学药学专业人士阅读







-scaled.jpg-pd13)

X