当前位置: 首页肺癌正文

惊悚!吸烟肺的“众生相”,看了再也不敢吸烟了……

|2021年08月12日| 浏览:4616

祝读者们戒烟成功!

 

 

吸烟危害健康,这是不争的事实,不但害己亦害人。与尘肺相比,吸烟的危害则更大、受害人则更多,病变严重者对肺功能的损害与尘肺没有什么区别,而且吸烟还是肺癌的罪魁祸首。
大体标本
图片
图1

手术中:
图片
图2
吸烟者的肺看起来够吓人的吧?现实中,我们不可能打开吸烟者的胸部去看肺部的改变,开胸验肺只能成为笑谈。
CT表现
临床实践证明,只要是一个长期吸烟者,肺在CT上就一定会有改变,只是程度不同、表现不同而已,这与吸烟的量、时间的长短密切相关。那么我们就用CT来看看吸烟所导致的肺“众生相”。如果你是一个吸烟者,或者接触二手烟者,这里“总有一款适合你”。
来来来,用实例告诉你~
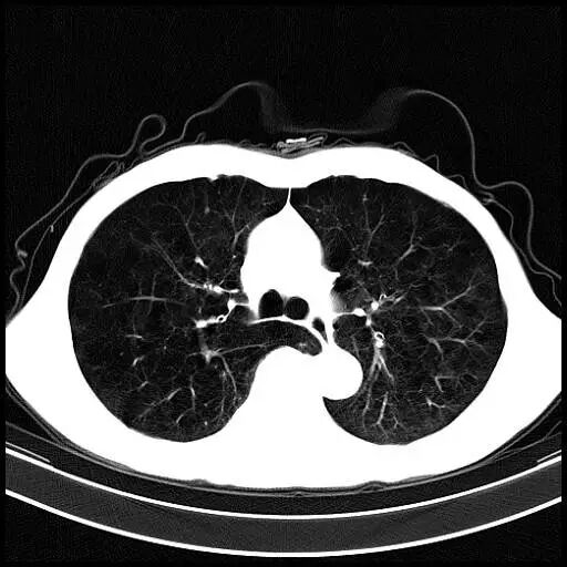
正常肺的CT表现
图片
图3
胸廓的横径和前后径的比例是3:2,双肺纹理走行自然,像树杈一样分支越来越细,直达肺的边缘,肺野内未见异常密度影。正常的肺泡直径平均只有0.2 mm左右,CT是看不见的。

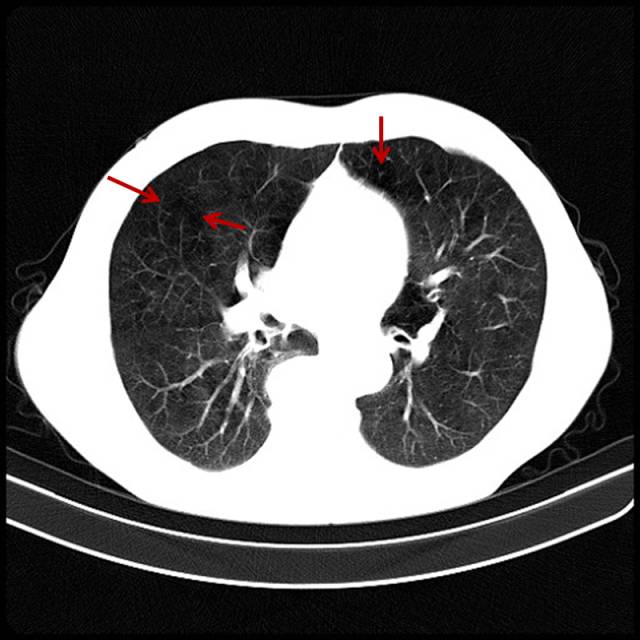
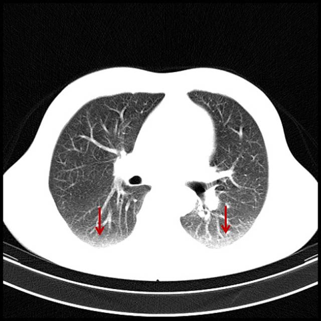
吸烟导致双肺坠积效应

男,47岁,吸烟者,每天2盒。

图片
图4

轻度肺坠积效应,这部分肺无法执行换气功能,属于亚临床患者,重度才有自觉气短症状(详细请点击→吸烟者的肺,看完果断戒烟吧!

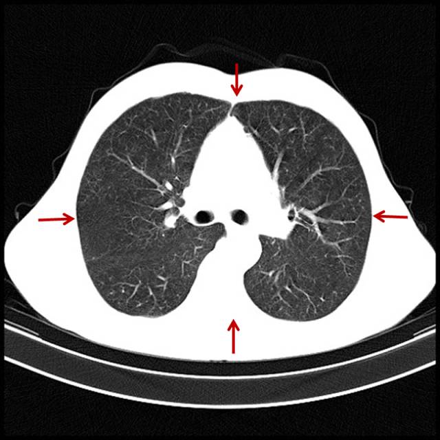
■ 吸烟导致肺气肿

肺气肿是指终末细支气管远端的气道弹性减退、过度膨胀、充气和肺容积增大或同时伴有气道壁破坏的病理状态。看看CT表现。

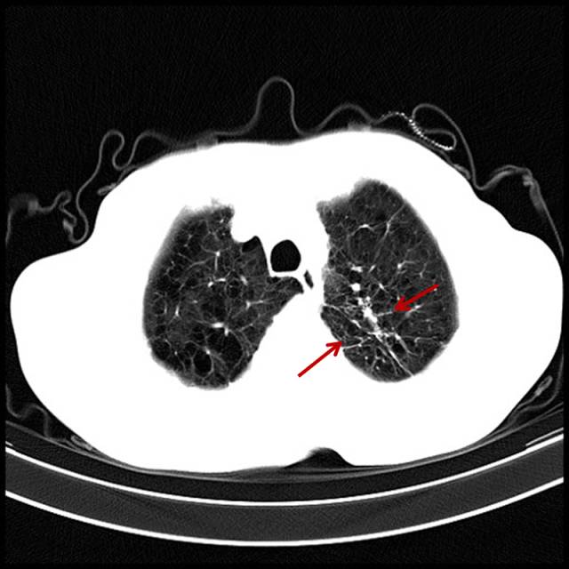
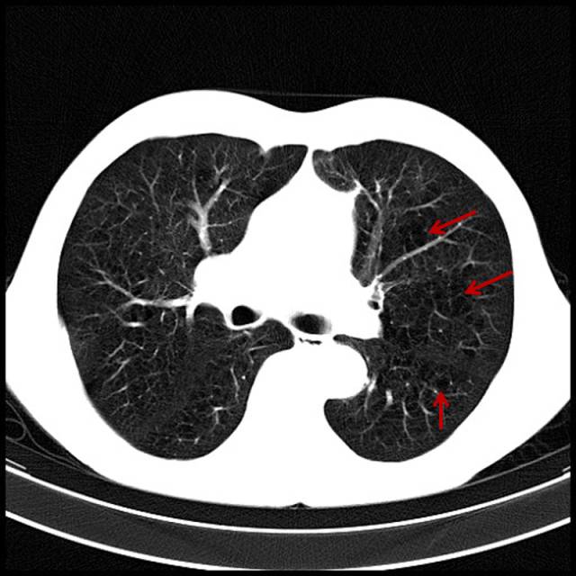
 吸烟导致的轻度肺气肿

男,32岁,16岁开始吸烟。
图片
图5
肺的周边密度已经变低,周边纹理变细、消失,这时肺功能受到影响,详细询问病史,有气短症状。比如原来上五层楼气喘吁吁,现在上三层楼既能感到上气不接下气,症状往往被忽略,尤其是年轻人,不会以为自己吸烟会得肺气肿,这部分人也是最难戒掉烟的。与这类患者交谈时,也知道吸烟不好,但往往不以为然。此类患者多见于年轻人,属于亚临床患者。

吸烟导致的中度肺气肿

男,55岁,吸烟40年。

图片
图6
呈桶状胸。已经能看见肺泡呈弥漫性扩张。追问病史,有活动后气短,尤其是重体力劳动者症状比较明显。一般不会引起患者重视,不会与吸烟联系在一起。此类患者一般年龄较大,经过耐心解释容易戒烟,也属于亚临床患者。

吸烟导致的中重度肺气肿

男,65岁,咳嗽、气短、吸烟几十年。

图片
图7

双肺多个小无肺纹区。有自觉症状,患者基本会意识到气短与吸烟有关。此类患者戒烟不戒烟,完全取决于自己的毅力。相当一部分患者已经成瘾,或者说成习惯了,会说慢慢戒、减量。我见过一天最多能吸5盒烟的。

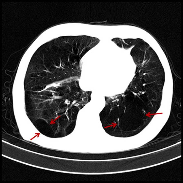
吸烟导致的重度肺气肿

男,72岁,吸烟史。

图片
图8

双肺布满小无肺纹区。这类患者气短已经相当明显,已经意识到与吸烟有关。只要一解释,一般都会立马戒烟。此类患者更多的是非常紧张,不断地询问:有什么好方法?能治好不?要知如今何必当初。其实年龄越大越紧张。

吸烟导致的极重度肺气肿

图片
图9

基本上是不活动也气短。肺泡已经大量破坏,肺的呼吸面积大大减少,这类患者的肺功能已经不及正常肺的1/3,大多数已经主动戒烟了,原因不言而喻了。

肺气肿伴肺大泡

男,78岁,有吸烟史。

图片
图10

与前一类患者症状相同,属于晚期。大多已经主动戒烟。最可怕的是一口痰咳不上来,因窒息死亡,或者自发性气胸死亡。

吸烟的人合并肺结核

男,56岁,吸烟,陈旧性肺结核。

图片
图11

左上肺陈旧性肺结核,双肺弥漫性肺气肿。吸烟导致肺免疫力下降,更易合并其它感染性疾病。临床上相当多见。

还有一部分吸烟者,从事的是接触粉尘的工作,如水泥、煤炭、室内装修等,肺部改变更是雪上加霜。

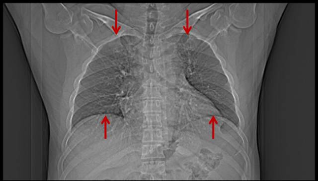
肥胖体型吸烟者肺部改变

1.肥胖体型的吸烟者,因为腹部堆积大量的脂肪把膈肌抬高,如果用X线平片判断有无肺气肿,会直接漏掉。

男,46岁,16岁开始吸烟。

图片
图12

如果用平片判断,的确看不出什么,可是看看CT表现:

图片
图13
肺野密度减低,可见大片的无肺纹区。

2.吸烟导致的肺坠积效应

男,35岁,吸烟,最明显感觉是游泳憋气困难。

图片
图14

肺气肿伴双肺坠积效应。此类患者用平片判断肺有无改变是要漏诊的。所以对于一个吸烟者,如果怀疑肺部有病变,平片正常仍需做CT进一步检查。

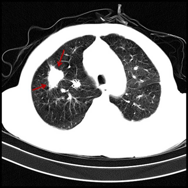
吸烟导致肺癌

男,79岁,吸烟。

图片
图15

弥漫性肺气肿,右上肺周围型肺癌。再常见不过了。
微细结构
那么吸烟为什么会导致这些改变呢?我来简述一下。

我们先看看肺泡结构:

图片
图16 正常单个肺泡与毛细血管结构

图片
图17 正常肺换气示意图

吸入氧气、排出二氧化碳,这种气体交换是肺最重要的功能。正常成人肺的换气面积是100平方米。正常静息状态下,1/3的肺就足够了。

烟草中的焦油、尼古丁和氢氰酸等化学物质具有多种损伤效应,如损伤气道上皮细胞和纤毛运动、使气道净化能力下降、使自由基产生增多、诱导中性粒细胞释放蛋白酶、破坏肺弹力纤维、诱发肺气肿形成。

当吸烟导致细支气管炎、细支气管狭窄时,吸气时气体尚可进入,呼气时由于气道狭窄、肺弹力减弱,导致肺泡残气量增加,肺泡压力增大、破裂、融合,就形成了我们在CT上看到的无肺纹区、肺大泡。肺泡及毛细血管大量丧失,弥散面积减少。通气与血流比例失调与弥散障碍共同作用,导致换气功能发生障碍。病理改变是一个相当长的过程,有点像温水煮青蛙。

因此吸烟所致的轻、中度肺气肿和肺坠积效应患者,不会引起重视。发展到肺换气面积不足1/3时,意识到吸烟的危害时,谁都无能为力了

空气污染、雾霾、职业粉尘、化工气体刺激等都可以导致肺部病变, 国家正在采取一系列行之有效的措施,大家共同“享受”环境因素。但吸烟完全是人为因素。

为什么吸烟这么难禁止呢?主要原因是吸烟已经成为一种习惯,可自愿选择的不良习惯。全世界都在吸烟,全世界都在提倡戒烟,公共场合、机关单位、办公大楼到处张贴着中英文标识的禁止吸烟,到底有多少作用呢?有多少人不吸烟?有多少人不接触二手烟?真希望出现无烟家庭、无烟单位、无烟村、无烟城市、无烟国评比活动。从道德层面加以约束,因为就目前而言,尚不在法律的范畴。

在临床工作中,我所见到的吸烟者,已经出现气短症状者、发展到肺癌者,无不后悔不已,这才是悔之晚矣!对于没有明显症状的吸烟者,即亚临床患者,虽然也知道吸烟不好,但很难上升到理性认识。

然而,吸烟的人只要看到自己肺部的改变,通过我的耐心讲解,一般都能主动戒烟,真有点不见棺材不落泪啊。所以我把吸烟者肺部的各种“丑态”展现在这里,希望能给吸烟的你起到一定的警示作用。

祝你戒烟成功!
参考文献:
[1] 内科学第八版
[2] 生理学第八版

 

点击查看全文


本文仅供医学药学专业人士阅读

本文来源: 医学界肿瘤频道 发表,转载请注明来源!如有侵权请联系删除
关键词:
肺癌“黄金突变”新药迭出,EGFR癌症疫苗横空出世,实现患者5年生存率大幅提升近三倍!
上一篇

肺癌“黄金突变”新药迭出,EGFR癌症疫苗横空出世,实现患者5年生存率大幅提升近三倍!

​哈佛大学8万人研究:让大脑年轻3-4岁,这类食物可能有帮助
下一篇

​哈佛大学8万人研究:让大脑年轻3-4岁,这类食物可能有帮助

阅读相关文章
最新医生问答

这种情况严不严重?

2025年10月23日
最新抗癌笔记
top3

新年打卡

2024年02月17日
top4

好久没来

2024年02月17日
top5

CR

2024年02月01日
top6

七周年纪念!

2024年01月25日
扫描下方二维码回复 666 获取解锁验证码
步骤:[ 打开微信]->[ 扫描上方二维码]->[关注"三阴姐妹互助圈"公众号输入 666 获取验证码],即可永久解锁本站全部文章
验证码: