当前位置: 首页肺癌正文

80岁患上肺癌,4年后竟然肿瘤自行消失了!

|2023年04月06日| 浏览:9112
小细胞肺癌(SCLC)是一种分化程度低的高级别侵袭性神经内分泌癌,5年生存率只有7%左右。如果不进行治疗,则可能快速恶化,预期寿命甚至可能只有短短几周的时间。然而,发表于Thoracic Cancer杂志的一则病例中,“奇迹”降临在了一名80岁老人身上,他的SCLC在未经治疗的情况完全自发缓解了!

80岁男性,诊断SCLC后放弃治疗

这是一位80岁的老大爷,因咯血和声音嘶哑来到医院就诊。50年来,他每天吸烟20支。
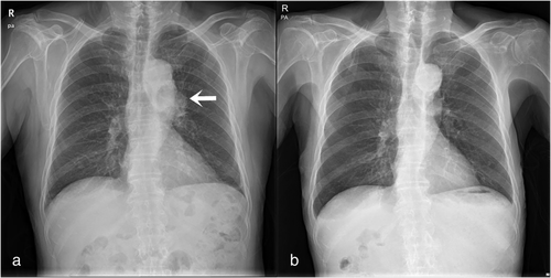
胸部X线检查显示,左肺门有轮廓突出的病变(图1a)。胸部CT显示左上叶恶性肿瘤,左肺门和纵隔淋巴结肿大(图2a、b)。由于外生型病变不清晰可见,支气管镜活检失败。医生对患者进行了视频辅助胸腔镜手术(VATS),切除了主动脉下淋巴结。
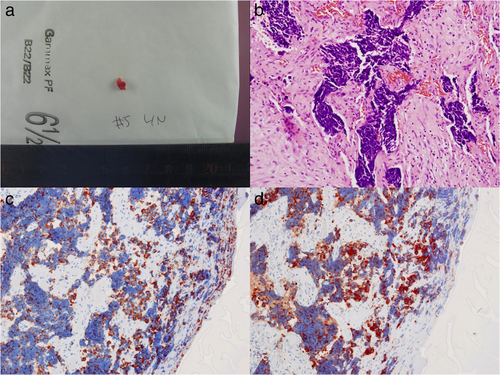
病理检查结果显示为SCLC(图3),临床分期为局限期。
图片图1:(a)胸部X线检查显示左肺门轮廓突出的病变;(b)胸部X线检查先前左肺门轮廓突出的病变完全消失

微信图片_20230406100153.png
图2:(a和b)胸部CT示左上叶肿瘤,左肺门及纵隔淋巴结肿大;(c和d)胸部CT示既往肿瘤病变完全消失
图片
图3:病理检查结果。(a)通过VATS切除主动脉下淋巴结。病理检查显示小而圆的肿瘤细胞致密片状生长,胞浆稀疏,染色质分散[(b)苏木精和伊红,100×]。肿瘤细胞嗜铬素A[(c)免疫组化,200×]和突触素[(d)免疫组化。200×]阳性。
因年龄较大,老大爷拒绝了化疗和放疗,在没有治疗的情况下出院。
局限期SCLC约占SCLC的30%,其预后并不乐观,中位生存时间只有15~20个月。而化疗和放疗是局限期SCLC的标准疗法。年龄这么大,又放弃了治疗,这位老大爷还能活多久呢?

52个月再次就诊,肿瘤完全消失

4年多(52个月)后,老大爷因无法进食、身体严重衰弱再次来到了医院。
“奇迹”出现了!胸部X线检查没有显示左肺门有轮廓突出的病变(图1b)。胸部CT扫描证实,先前左上叶、纵隔和肺门的SCLC完全缓解(图2c、d)
据了解,老大爷自上次就诊以来,没有做手术,也没有接受化疗或放疗,而是每天喝甜菜根汁。没有诉说任何神经系统疾病,也没有表现出异常神经体征。
就这么简单,肿瘤自发完全缓解了!看到这里,是否觉得这个老大爷很幸运呢?
然而,幸运不可能一直光临。腹部CT和胃镜检查发现,老大爷罹患了晚期胃癌。这次他又拒绝了治疗。老大爷在40天后去世。
那么胃癌会是SCLC导致的吗?对此,作者指出,老大爷的晚期胃癌在临床和组织学上被判断为与SCLC不相关,并且在文献中很难找到任何相关的证据。

肿瘤为何会自发缓解?


恶性肿瘤自发缓解背后的机制尚不清楚,可能涉及免疫和细胞因子修复过程、分化、凋亡、外科创伤(手术或活检)、感染、激素机制、抑制血管生成或副肿瘤性感觉运动神经病变。
那么本案例中SCLC为何会自发缓解呢?癌症自发缓解罕见吗?
针对以上内容,本文作者对此进行了分析。对于SCLC自发缓解的具体机制,如想进一步了解详细内容,可扫描下方二维码,或点击底部“查看原文”。
参考文献
[1]Song SH, Ha CW, Kim C, Seong GM. Complete spontaneous remission of small cell lung cancer in the absence of specific treatment: A case report. Thorac Cancer. 2021 Aug 20. doi: 10.1111/1759-7714.14124. Epub ahead of print. PMID: 34415108.
[2]Rudin CM, Ismaila N, Hann CL, et al. Treatment of Small-Cell Lung Cancer: American Society of Clinical Oncology Endorsement of the American College of Chest Physicians Guideline. J Clin Oncol. 2015 Dec 1;33(34):4106-11. doi: 10.1200/JCO.2015.63.7918. 
[3]Chang WY. Complete spontaneous regression of cancer: four case reports, review of literature, and discussion of possible mechanisms involved. Hawaii Med J. 2000 Oct;59(10):379-87. PMID: 11789163.
[4]https://www.verywellhealth.com/spontaneous-remission-of-lung-cancer-a-rare-miracle-3971875
[5]Haruki T, Nakamura H, Taniguchi Y, et al. Spontaneous regression of lung adenocarcinoma: Report of a case. Surg Today. 2010 Dec;40(12):1155-8. doi: 10.1007/s00595-009-4195-2. 
[6]Wrotek S, Brycht Ł, Wrotek W, Kozak W. Fever as a factor contributing to long-term survival in a patient with metastatic melanoma: A case report. Complement Ther Med. 2018 Jun;38:7-10. doi: 10.1016/j.ctim.2018.03.009.
[7]Ito E, Nakano S, Otsuka M, et al. Spontaneous breast cancer remission: A case report. Int J Surg Case Rep. 2016;25:132-6. doi: 10.1016/j.ijscr.2016.06.017.
[8]Peeters M, Geusens J, Van der Cruyssen F, et al. Case Report: Spontaneous Remission of an Infraorbital Follicular B-Cell Lymphoma: Case Report and Review of the Literature. Pathol Oncol Res. 2021 Apr 8;27:642433. doi: 10.3389/pore.2021.642433.
[9]为什么有些癌症不治疗也会自动消失?https://www.pd1.cn/kangaizhishi/10101.html
[10]Challenor Sarah,Tucker David,SARS-CoV-2-induced remission of Hodgkin lymphoma.[J].Br J Haematol,2021,192:415.
[11]病灶完全消失,自发缓解!或许跟这三种原因有关!https://www.sohu.com/a/485216140_121130330
本文首发:医学界肿瘤频道
责任编辑:Sheep
点击查看全文


本文仅供医学药学专业人士阅读

本文来源: 医学界肿瘤频道 发表,转载请注明来源!如有侵权请联系删除
肝癌患者应该避免或摄入哪些营养物质?
上一篇

肝癌患者应该避免或摄入哪些营养物质?

警惕:这种饮食方式是乳腺癌转移的“帮凶”! 如何吃才能避坑?
下一篇

警惕:这种饮食方式是乳腺癌转移的“帮凶”! 如何吃才能避坑?

阅读相关文章
最新医生问答

这种情况严不严重?

2025年10月23日
最新抗癌笔记
top3

新年打卡

2024年02月17日
top4

好久没来

2024年02月17日
top5

CR

2024年02月01日
top6

七周年纪念!

2024年01月25日
扫描下方二维码回复 666 获取解锁验证码
步骤:[ 打开微信]->[ 扫描上方二维码]->[关注"三阴姐妹互助圈"公众号输入 666 获取验证码],即可永久解锁本站全部文章
验证码: