一些常规治疗方法用于晚期HCC,如经动脉化疗栓塞、化疗和分子靶向治疗,同时免疫检查点抑制剂与其他模式的联合已被证明增加2倍的ORR。鉴于治疗方式的多样性,多学科治疗方法推荐用于晚期HCC以延长患者的生存期。基于近年来HCC治疗的研究进展,研究人员开展了射频消融(RFA)联合重组人腺病毒5型(rhAd5)和抗程序性细胞死亡蛋白1 (PD-1)抗体治疗HCC的临床试验。
在这里,我们报告了两例通过RFA结合rhAd5和抗PD-1抗体治疗获得完全缓解(CR)的病例。此外,一篇文献综述描述了这一领域的类似进展,并探讨了晚期HCC可行的治疗方法。
案例一:
三联方案治疗成功降期,
接受手术治疗18个月无复发
患者男性,49岁,体重60kg,常规体检诊断为HCC。既往有慢性乙型肝炎病毒(HBV)感染(超过40年),没有接受抗病毒治疗。
实验室检测血小板计数178*10^9 /L,丙氨酸转氨酶浓度106.6 IU/L,总胆红素浓度14.45 mmol/L,白蛋白浓度38.05 g/L,HBV DNA水平2.724 105 IU/mL。血清甲胎蛋白(AFP)水平为11.060 ng/mL,缺乏维生素K或拮抗剂PIVKA-II诱导的蛋白水平约为3258.00 mAU/mL。患者未出现异常症状、脑病或腹水。肝功能补偿良好,Child Pugh评分为A级,ECOG评分为1。
对免疫检查点抑制剂治疗的淋巴细胞亚群分析和基因检测进行了额外评估。血液淋巴细胞亚型检测显示,淋巴细胞总数为939/mL(正常值范围:1530 3700),CD8+ T细胞数量为244/mL(正常值范围:220 1129),CD4+ T细胞数量为388/mL(正常值范围:404 1612)。基因检测结果显示,肿瘤突变负荷为3.98个突变/Mb(平均值为5.28个突变/Mb),编码错配修复蛋白、MDM2原癌基因、p53的MDM4调控因子、DNA甲基转移酶3α的基因均未见异常。
CT扫描和磁共振成像(MRI)显示在右侧前叶、左侧和尾状叶弥漫性动脉高血管/门静脉洗脱团块,侵犯主干、右侧前叶、左侧门静脉、左肝静脉和下腔静脉。肝硬化,门脉高压,脾肿大,腹膜后淋巴结也被观察到。
基于HBV相关肝硬化患者的典型CT和MRI影像学特征,以及肿瘤标志物的显著升高,无需进行肝脏活检,患者确诊为肝癌。
患者接受肝细胞癌RFA和瘤内注射rhAd5(1.0*10^12病毒颗粒,1次),此外,术后每3周静脉给予帕博利珠单抗(每次200 mg) 1次。恩替卡韦常规用于抑制HBV复制。治疗6周后复查肿瘤标志物,AFP和PIVKA-II分别降至10.090 ng/mL和25.00 mAU/mL。治疗5个月后复查增强CT,肿瘤及肿瘤血栓较治疗前明显缩小。再次MRI增强检查发现肝左叶及尾状叶斑片状异常信号影明显变小,肿瘤血栓消失或缩小。
在检查了病人的情况后,一个多学科小组决定进行左半肝切除术以根治性切除肿瘤。结合术中彩色多普勒超声及肝活检结果,经患者及家属同意,行肝左外侧叶切除术。门静脉左支开放,未见肿瘤血栓形成。术中冰冻切片检查及术后病理标本未见肿瘤;门脉区仅观察到结节性肝硬化和慢性炎症。术后18个月随访,影像学及肿瘤标志物检测均未见复发。
案例二:
联合治疗达CR,
已长期生存2年以上
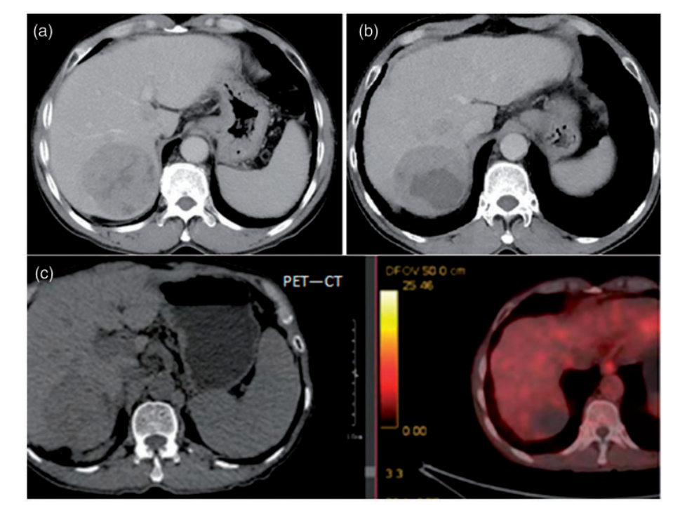
患者男性,65岁(体重61公斤),诊断为晚期HCC。CT和MRI显示原发性肝脏肿瘤伴多发肝转移及门静脉浸润。血清AFP和PIVKA-II水平显著升高,高度提示晚期HCC。
他接受相同的治疗方案,并在6个月后根据PET-CT扫描达到CR。然而,该患者并没有进行手术来确认肿瘤细胞是否消失。目前,该患者已存活24个月以上,无任何症状。监测了两例患者的不良反应,没有证据表明联合治疗的副作用增加。
☆ 案例讨论 ☆
肝癌细胞侵入门静脉系统,形成门静脉肿瘤血栓(PVTT)。肝癌合并PVTT的发生率为44.0%~62.2%。PVTT与肿瘤细胞肝内播散和肝外转移有关。合并PVTT的HCC患者中位生存时间仅为7.2个月,明显低于未合并PVTT的患者中位生存时间35.2个月。研究人员采用RFA联合rhAd5和抗PD-1抗体治疗晚期肝癌,取得了良好的治疗效果。
RFA不仅能杀死肝癌细胞,还能诱导和增强机体的抗肿瘤免疫反应。临床研究表明,RFA通过多种机制诱导特异性免疫。在开始免疫检查点抑制剂治疗之前,用RFA预处理肝癌以诱导炎症或热凝创造了有利于肿瘤新抗原生成的条件。
rhAd5是通过基因工程技术删除部分人5型腺病毒E1B-55 kDa蛋白和E3区获得的一种溶瘤腺病毒,可杀伤肿瘤细胞,诱导特异性抗肿瘤免疫。这种腺病毒在特定的肿瘤细胞中大量复制并最终导致细胞裂解。肿瘤细胞裂解后释放的病毒子代继续感染周围的肿瘤细胞,进而破坏肿瘤,抑制血管内皮生长因子的产生和肿瘤新生血管,导致肿瘤血供不足和坏死。此外,rhAd5本身具有抗原性,诱导机体产生针对腺病毒的免疫应答,从而杀死腺病毒感染的肿瘤细胞,建立持续的抗肿瘤免疫。
在最近的晚期HCC患者的临床试验中,抗PD-1单药治疗ORR仅为10%~30%,但抗PD-1治疗与其他治疗的联合治疗提高了这种疗效。在一项Ib期临床试验中,接受K药联合溶瘤病毒T -vec治疗的患者的ORR为62%,治疗后CD8+ T细胞、干扰素-γ基因表达和PD-L1蛋白表达均增加,而这也许可以解释溶瘤病毒联合PD- 1抗体提高治疗效果的原因,但还需要更多的临床试验来证实。
综上所述,RFA联合rhAd5和抗PD-1抗体治疗是激活机体抗肿瘤免疫治疗晚期HCC的有效方法。
本文仅供医学药学专业人士阅读











X