以靶向治疗为代表的癌症“精准治疗”,顾名思义,是一类建立在对癌症有精确认知、并发动精准“攻击”的基础之上的治疗手段。
一直以来,我们都将“个性化”视为发挥靶向治疗优势的前提。只有首先明确了癌症的致病基因突变,再挑选出最有针对性的那款药物,才能够真正做到“釜底抽薪”。
基于这样的原理,靶向治疗药物的分类非常复杂而细致,衍生出的药物种类更是难以计数。从2017年开始,NCCN指南已经推荐非小细胞肺癌患者检测12种能够用于指导治疗方案选择的基因。其中一部分基因用于指导用药,一部分基因用于预测疗效、评估疗效较好或疗效不佳。
在能够指导用药的基因突变中,有一类被称为“钻石突变”。它们的检出率不高,但靶向药物疗效非常出色,经常能将患者的生存期延长到两年、三年、五年甚至是十年。
2年又2年,选对了药物,长期生存竟然如此轻而易举!
案例一:21+15+24个月
72岁男性,早年有吸烟史(<5 包年*),诊断局部晚期肺腺癌(肺门、纵隔和同侧锁骨上淋巴结受累),荧光原位杂交(FISH)检查发现ROS1重排(37.5%)。
患者的一线方案选择了同步放化疗,疾病控制21个月,并随后复发,并接受了手术治疗。术中取得的标本验证了ROS1重排以及融合突变。
手术的疗效维持了15个月,后续检测出了肺局部及远处淋巴结转移,幸而尚未发生脑转移。标本活检发现了ROS1融合突变。
此次复发后患者接受了克唑替尼一线治疗,效果良好,患者再次保持了24个月的无癌生存。
*包年:即“每天吸烟的包数”与“吸烟年数”的乘积,是判断患者吸烟史严重程度的决定性指标。
案例二:44+13个月
这位男性患者非常年轻,32岁,只有非常轻微的吸烟史(<1 包年),诊断为晚期肺腺癌,双肺及腋窝淋巴结都有转移病灶。FISH检查提示存在ROS1重排(67.5%)。
患者一线便接受了克唑替尼治疗,持续缓解整整44个月!后续在右下肺发现了新的病灶,并重新接受了基因检测(二代测序),并确认了耐药突变EZR-ROS1融合以及ROS1-S1986F突变。
患者二线接受了劳拉替尼治疗,至当前随访13个月,疗效仍在持续。
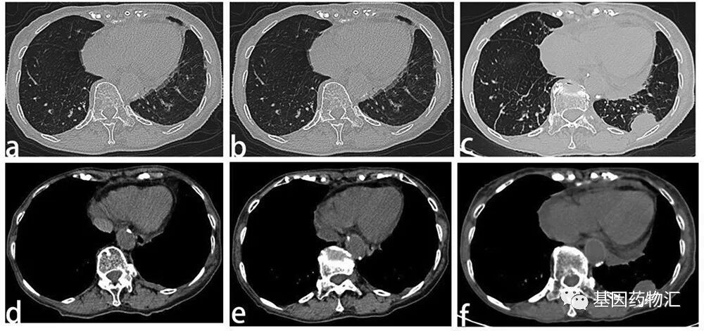
案例三:90岁,12个月
第三个案例来自一位年龄非常大的患者。这位患者是一名90岁的女性,从未吸烟,诊断为左肺腺癌,确诊时有胸腔积液。
患者一线接受了全身性化疗,但是没能取得缓解。由于胸腔积液严重,患者接受了胸腔穿刺术,以及胸腔内滴注顺铂治疗,但很快胸腔积液再次增加,且伴随严重的副作用,呼吸困难。
免疫组化提示患者ROS1为阳性,因此接受了克唑替尼治疗。治疗第1个月,患者的症状出现了明显的改善;治疗仅2个月,患者的呼吸困难症状消失了。此时的影像学检查结果显示,患者的疾病控制稳定。
此后患者又继续接受了10个月的克唑替尼治疗,直至再次复发。从患者确诊到最终因肝肾功能严重不全而死亡,生存期共14个月。
上述三例患者,在治疗的过程中都选择了克唑替尼,除了基础体力较差的第三位患者以外,两位患者的缓解期都非常长;而即使是胸水非常严重、高龄的第三位患者,仍一度在克唑替尼的治疗下取得了稳定。
2年又2年,只要选对了药物,患者的生存期非常有希望取得明显的延长!
三个案例中提到的克唑替尼、劳拉替尼都属于ROS1抑制剂,但它们的疗效各有侧重。其中克唑替尼属于第一代ROS1抑制剂,而劳拉替尼属于第三代ALK抑制剂,由于ROS1和ALK的结构非常相似,因此这款药物同样能够用于治疗ROS1突变患者,且对第一代ROS1抑制剂耐药的患者尤其疗效显著。
让我们一起来了解一下这些已经获批上市、或潜力非凡的ROS1抑制剂们吧。
克唑替尼
克唑替尼是最经典的第一代ROS1抑制剂,目前已经获批上市。
2016年获批时的依据、克唑替尼的全球性PROFILE 1001试验结果显示,存在ROS1重排的晚期非小细胞肺癌患者接受治疗,整体缓解率为72%,疾病控制率为90%,中位缓解持续时间为17.6个月,中位无进展生存期17.6个月(后持续提升至19.2个月以上)。
后续于2019年更新的长期随访(62.6个月)结果显示,患者整体缓解率72%,中位缓解持续时间24.7个月,中位无进展生存期19.3个月,中位总生存期长达51.4个月。
恩曲替尼
今年年初,研究者公开了恩曲替尼治疗ROS1阳性非小细胞肺癌的长期随访结果,证明了恩曲替尼能够使患者获得长期的临床益处。除此以外,恩曲替尼治疗脑转移患者的效果也显著地超过了克唑替尼。
缓解率:整体缓解率67.1%,部分亚型可达72.9%
根据分析,接受恩曲替尼治疗的ROS1阳性非小细胞肺癌患者的整体缓解率为67.1%;其中临床完全缓解率为8.7%,临床部分缓解率为58.4%,此外还有8.7%的受试患者疾病稳定。
研究者同样分析了ROS1基因与不同基因融合突变的亚型的患者,接受恩曲替尼治疗的缓解率差异。其中,在CD74-ROS1融合突变型(最常见的ROS1融合突变亚型,约占30%)患者中,恩曲替尼治疗的整体缓解率为72.9%;在SLC34A2-ROS1融合突变型患者中,恩曲替尼治疗的整体缓解率为57.1%。
缓解持续:快速响应、中位持续15.7个月
研究同样分析了从患者开始接受恩曲替尼治疗到发生临床响应的时间。结果显示,患者的中位响应时间为0.95个月,即超过50%的患者在接受治疗不到一个月的时间内便达到了临床缓解。
而所有患者的中位缓解持续时间为15.7个月,63%的患者缓解持续超过12个月。
脑转移:高缓解率、持久响应,颅内病灶缓解率79.2%
值得注意的是,由于恩曲替尼的入脑活性良好,因此基线存在脑转移的患者对于恩曲替尼治疗的响应率与总人群的数据相似,整体缓解率为62.5%;基线不存在脑转移的患者,整体缓解率为69.5%。
同时,脑转移患者的缓解持续时间也非常稳定,55%的患者缓解持续超过12个月。分析结果同样认可了恩曲替尼对于患者颅内病灶的疗效,颅内病灶缓解率达到了79.2%。
生存期:81%的患者生存超过1年
截至数据结束时,大部分的患者能够保持无进展生存,中位无进展生存期为15.7个月;在脑转移患者中,中位无进展生存期为8.3个月。
目前为止,试验的总生存期数据尚不成熟,但在12个月时,有81%的患者保持生存。
随访1年以上患者组:缓解率73.4%,持续16.5个月
根据一组94例患者,随访超过1年的疗效结果,恩曲替尼治疗的整体缓解率为73.4%,中位缓解持续时间16.5个月,中位无进展生存期为16.8个月。
从ROS1抑制剂的角度来说,克唑替尼和恩曲替尼这两款药物同属于第一代,那么两药孰优孰劣呢?
根据研究者的分析,恩曲替尼的整体缓解率与其它ROS1抑制剂相仿,包括克唑替尼(PROFILE 1001研究:72%;OxOnc研究:71.7%),以及尚未接受过靶向治疗的ROS1阳性非小细胞肺癌患者使用色瑞替尼(62%)或劳拉替尼(62%)的疗效。
当然,不同试验中患者的基线数据存在一定的差异,想要真正对比恩曲替尼与上述三款药物的疗效,还需要更多的交叉试验或“头对头”试验的结果。
当提及恩曲替尼对于脑转移患者的疗效时,研究者使用了“令人印象深刻的”(impressive)这个词。众所周知,最经典的第一代ROS1抑制剂克唑替尼的入脑效果并不算好,对于基线存在脑转移的患者来说,这款药物并不能对颅内病灶产生令人满意的治疗效果。
但作为一款小分子、高入脑活性的药物,恩曲替尼很好地填补了这部分的治疗空白。这款药物能够在脑转移患者中达到79.2%的颅内病灶缓解率,且超过一半(55%)的脑转移患者缓解持续在12个月以上。
研究者指出,在ROS1融合突变阳性的转移性非小细胞肺癌中,约40%的患者确诊或接受治疗时(基线时)已经存在脑转移,入脑活性,以及对颅内病灶的治疗效果,是ROS1抑制剂应当关注的一个重要指标。毫无疑问,恩曲替尼治疗脑转移患者的疗效,能够为这款药物赋予更广阔的应用前景。
劳拉替尼
由于ROS1和ALK的结构非常相似,因此各类ALK抑制剂同样可以应用于ROS1阳性癌症的治疗。劳拉替尼是最经典的第三代ALK抑制剂,目前已经获批了ALK阳性非小细胞肺癌的适应症,并且获得了NCCN指南的推荐,能够用于ROS1阳性非小细胞肺癌的一线治疗。
根据今年年初劳拉替尼获批一线治疗适应症时的依据、Ⅲ期CROWN试验的结果,接受劳拉替尼一线治疗的ALK阳性非小细胞肺癌患者,发生疾病进展或死亡的风险比克唑替尼降低了72%。
与克唑替尼相比,劳拉替尼最显著的提升在于它具备非常强大的入脑活性。我们都知道,尽管克唑替尼治疗ALK突变的非小细胞肺癌患者疗效显著,但由于其分子量较大、入脑活性不佳,因此很难对脑转移患者的颅内病灶产生有效的控制。而劳拉替尼的入脑活性良好,在脑转移病灶的治疗过程中,表现非常亮眼。
根据不久前刚刚结束的本年度世界肺癌大会(WCLC)上公开的研究结果,劳拉替尼治疗基线存在脑转移的患者,整体缓解率为82%,其中完全缓解率高达71%。
接受克唑替尼治疗的患者,中位无进展生存期9.3个月,接受劳拉替尼治疗的患者,中位无进展生存期尚未达到。接受劳拉替尼治疗的患者中,79%的患者颅内缓解持续时间超过了12个月,这一数据在接受克唑替尼治疗的患者中为0。
瑞波替尼
瑞波替尼(TPX-0005,Repotrectinib)的名字相信大家还是比较熟悉的。作为第二代NTRK抑制剂,这款药物一经问世就成为了最受正在接受第一代NTRK抑制剂治疗的患者期待的新药。但同时,这也是一款多靶点的药物,对于克唑替尼耐药的ROS1阳性患者疗效同样出色。
根据2021年世界肺癌大会上公布的Ⅰ/Ⅱ期TRIDENT-1研究的结果,对于部分突变亚型的ROS1阳性患者,瑞波替尼治疗的整体缓解率达到了93%,创造了全新的纪录!
作为新一代的ROS1抑制剂,瑞波替尼在克唑替尼耐药患者的治疗中潜力更加强大,非常值得期待。
Taletrectinib
Taletrectinib(DS-6051b,AB-106)同样是一款NTRK/ROS1多靶点抑制剂,能够用于克唑替尼耐药患者的治疗。
根据2021年ASCO大会上公开的Ⅱ期TRUST试验数据,Taletrectinib治疗未经过克唑替尼治疗的患者,整体缓解率高达93%;治疗克唑替尼耐药的患者,整体缓解率60%,疾病控制率100%!
新药蓬勃发展,免费用药机会不容错过!
当然,除了上述几款药物以外,还有许多ROS1抑制剂新药正在进行临床试验,试图超越或与经典药物的疗效比肩。大家一定要好好把握这个临床试验井喷的时代,找到适合自己的那款药物,迎接属于自己的“长生”。
本文仅供医学药学专业人士阅读














X